HOME-Au
HOME-Au
24h
24h
USA
USA
GOP
GOP
Phim Bộ
Phim Bộ
Videoauto
VIDEO-Au
Donation
Donation
News Book
News Book
News 50
News 50
worldautoscroll
WORLD-Au
Breaking
Breaking
 

Go Back   VietBF > Other > School | Kiến thức


Reply
Thread Tools
 
 
  #1  
Old  Default Phát hiện ung thư phổi chỉ sau 7 ngày ho, tức ngực
Người đàn ông 65 tuổi thấy ho, tức ngực tăng nhiều về đêm, sau 7 ngày khó chịu quá mới đi khám, kết quả chẩn đoán khiến bệnh nhân ngỡ ngàng: ung thư phổi.

GS.TS Mai Trọng Khoa, nguyên Giám đốc Trung tâm Y học hạt nhân và Ung bướu (Bệnh viện Bạch Mai) cho biết, bệnh ung thư phổi là một trong những bệnh ung thư phổ biến nhất và có tỷ lệ tử vong cao trên thế giới. Tại Việt Nam, hầu hết người bệnh khi mới phát hiện bệnh thì bệnh đã ở giai đoạn muộn và đã có các tổn thương di căn xa.

Hiện nay đã có nhiều tiến bộ mới về điều trị cũng như các tiến bộ về chẩn đoán hình ảnh đã góp phần làm tăng hiệu quả điều trị, phát hiện sớm sự tiến triển của bệnh và giúp kéo dài thời gian sống, cải thiện chất lượng sống cho người bệnh.

Trường hợp bệnh nhân P.H.C. (65 tuổi, Hà Nội) là ca phát hiện mắc ung thư phổi từ năm 2018 ở giai đoạn muộn nhưng đã được điều trị ổn định tại Trung tâm Y học hạt nhân và Ung bướu, Bệnh viện Bạch Mai.


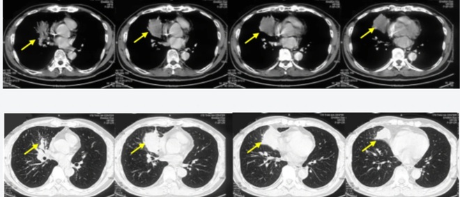
Hình ảnh chụp cắt lớp vi tính lồng ngực khối u thùy dưới phổi phải kích thước 6,1 x 4,8 cm (mũi tên).

Đáng chú ý ở bệnh nhân này, trong thời gian rất ngắn, cách vào viện một tuần, bệnh nhân xuất hiện ho, tức ngực tăng nhiều về đêm. Bệnh nhân tự điều trị thuốc tại nhà nhưng không đỡ nên đi khám.

Tại Bệnh viện Bạch Mai, bệnh nhân được chụp cắt lớp vi tính phát hiện khối u phổi phải, nhập viện điều trị. Trước đó, bệnh nhân có tiền sử hoàn toàn khỏe mạnh.

Kết quả chẩn đoán xác định bệnh nhân ung thư phổi phải di căn xương đa ổ giai đoạn 4, với kết quả mô bệnh học là ung thư biểu mô tuyến, PDL1 (+), đột biến E746_A750 trên exon 19.

Bệnh nhân được chỉ định điều trị bằng thuốc điều trị đích Afatinib 40mg/ngày, uống hàng ngày, kết hợp điều trị triệu chứng: giảm đau, nâng cao thể trạng ….

Sau 1 năm điều trị, bệnh nhân toàn trạng ổn định, hết đau xương, hết ho, hết đau ngực, xuất hiện tác dụng phụ trên da độ II vùng bàn tay 2 bên, kết quả chụp cộng hưởng từ sọ não: Chưa phát hiện tổn thương bất thường.

Bệnh nhân có đáp ứng tốt với điều trị, tiếp tục được điều trị duy trì. Đến tháng 2/2020, bệnh nhân thỉnh thoảng xuất hiện ho húng hắng, kèm đau nhẹ vùng cột sống thắt lưng khi vận động.

Qua thăm khám, cụ thể với kết quả chụp PET/CT, các bác sĩ phát hiện bệnh nhân đã có nhiều tổn thương mới xuất hiện cả ở phổi và ở xương cột sống thắt lưng, xương chậu đều có tính chất tăng hấp thu 18FDG, cho thấy tình trạng ung thư của bệnh nhân có dấu hiệu tiến triển. Bệnh nhân đã được chẩn đoán là ung thư phổi phải di căn xương EGFR (+) tiến triển sau điều trị bằng thuốc điều trị đích Afatinib. Ngay sau đó, bệnh nhân được đổi phác đồ điều trị bằng hóa chất trong 6 chu kỳ.

Sau 6 chu kỳ hóa chất, bệnh nhân không còn cảm giác đau cột sống thắt lưng; xét nghiệm chất chỉ điểm u đều giảm.

Bệnh nhân đã có đáp ứng một phần với hóa trị. Bệnh nhân được tiếp tục điều trị duy trì bằng hóa chất theo phác đồ Pemetrexed đơn chất. Các bác sĩ hy vọng bệnh nhân P.H.C sẽ tiếp tục có thời gian ổn định bệnh lâu dài.

GS Khoa khẳng định, việc theo dõi thường xuyên, phát hiện kịp thời tình trạng tiến triển của bệnh trước khi có các triệu chứng rầm rộ trên lâm sàng dựa trên ứng dụng các tiến bộ của y học đã góp phần không nhỏ vào sự thay đổi tiên lượng sống, chất lượng sống và khả năng đáp ứng điều trị về sau của người bệnh.

Với ung thư phổi diễn biến thường rất nhanh, do bệnh nhân thường phát hiện ở giai đoạn muộn. Để phát hiện ung thư phổi ở giai đoạn sớm không phải dễ dàng, vì ở giai đoạn đầu, hầu hết trường hợp mắc ung thư phổi đều không có triệu chứng điển hình nên rất khó nhận biết, dễ gây nhầm lẫn với một số bệnh lý đường hô hấp khác, dẫn đến việc điều trị không đúng phương pháp.

Thường chỉ đến khi bệnh nhân có các triệu chứng rõ rệt như ho dai dẳng, ho ra máu, khó thở, đau tức ngực… thì phát hiện bệnh đã ở giai đoạn muộn, việc điều trị trở nên khó khăn hơn.

Trong khi đó, ung thư phổi có nhiều phương pháp điều trị, mang lại hiệu quả khả quan nếu bệnh phát hiện ở giai đoạn sớm, với tỷ lệ sống trên 5 năm đạt gần 45%.

VietBF@sưu tập
Dịch trang: EnglishEnglish DeutschDeutsch FrançaisFrançais EspañolEspañol ItalianoItaliano PortuguêsPortuguês
NorskNorsk NederlandsNederlands DanskDansk SuomiSuomi PolskiPolski ČeštinaČeština РусскийРусский
日本語日本語 한국어한국어 中文(简体)中文(简体) 中文(繁體)中文(繁體) MagyarMagyar TürkçeTürkçe
العربيةالعربية ไทยไทย LatinaLatina हिन्दीहिन्दी Bahasa IndonesiaBahasa Indonesia Bahasa MelayuBahasa Melayu
VIETBF Hybrid Community Content Hub

HOT NEWS 24h

HOT 3 Days

NEWS 3 Days

HOT 7 Days

NEWS 7 Days

HOME

Breaking News

VietOversea

World News

Business News

Car News

Computer News

Game News

USA News

Mobile News

Music News

Movies News

History

Thơ Ca

Sport News

Stranger Stories

Comedy Stories

Cooking Chat

Nice Pictures

Fashion

School

Travelling

Funny Videos

Canada Tin Hay

USA Tin Hay

VietBF Homepage Autoscroll

VietBF Video Autoscroll Portal

Video Classic Master

iPad News Portal

VietBF iPad Music Portal

Tin nóng nhất 50h qua

Phim Bộ Online

Phim Bộ



troopy
R10 Vô Địch Thiên Hạ
Release: 07-21-2021
Reputation: 228331


Profile:
Join Date: Oct 2014
Posts: 93,680
Last Update: None Rating: None
Attached Thumbnails
Click image for larger version

Name:	34.jpg
Views:	0
Size:	62.5 KB
ID:	1832061  
troopy_is_offline
Thanks: 76
Thanked 7,102 Times in 6,198 Posts
Mentioned: 5 Post(s)
Tagged: 0 Thread(s)
Quoted: 34 Post(s)
Rep Power: 116
troopy Reputation Uy Tín Level 10troopy Reputation Uy Tín Level 10troopy Reputation Uy Tín Level 10troopy Reputation Uy Tín Level 10troopy Reputation Uy Tín Level 10troopy Reputation Uy Tín Level 10
troopy Reputation Uy Tín Level 10troopy Reputation Uy Tín Level 10troopy Reputation Uy Tín Level 10troopy Reputation Uy Tín Level 10troopy Reputation Uy Tín Level 10troopy Reputation Uy Tín Level 10troopy Reputation Uy Tín Level 10troopy Reputation Uy Tín Level 10troopy Reputation Uy Tín Level 10troopy Reputation Uy Tín Level 10troopy Reputation Uy Tín Level 10troopy Reputation Uy Tín Level 10troopy Reputation Uy Tín Level 10troopy Reputation Uy Tín Level 10troopy Reputation Uy Tín Level 10troopy Reputation Uy Tín Level 10troopy Reputation Uy Tín Level 10troopy Reputation Uy Tín Level 10troopy Reputation Uy Tín Level 10troopy Reputation Uy Tín Level 10troopy Reputation Uy Tín Level 10troopy Reputation Uy Tín Level 10troopy Reputation Uy Tín Level 10
Dịch trang: EnglishEnglish DeutschDeutsch FrançaisFrançais EspañolEspañol ItalianoItaliano PortuguêsPortuguês
NorskNorsk NederlandsNederlands DanskDansk SuomiSuomi PolskiPolski ČeštinaČeština РусскийРусский
日本語日本語 한국어한국어 中文(简体)中文(简体) 中文(繁體)中文(繁體) MagyarMagyar TürkçeTürkçe
العربيةالعربية ไทยไทย LatinaLatina हिन्दीहिन्दी Bahasa IndonesiaBahasa Indonesia Bahasa MelayuBahasa Melayu
Reply

User Tag List



 

iPad Videos Portal Autoscroll

VietBF Music Portal Autoscroll

iPad News Portal Autoscroll

VietBF Homepage Autoscroll

VietBF Video Autoscroll Portal

USA News Autoscroll Portall

VietBF WORLD Autoscroll Portal

Video Classic Master Page

Super Widescreen

iPad World Portal Autoscroll

iPad USA Portal Autoscroll

Phim Bộ Online
Lên đầu Xuống dưới Lên 3000px Xuống 3000px

Tin nóng nhất 24h qua

Tin nóng nhất 3 ngày qua

Tin nóng nhất 7 ngày qua

Tin nóng nhất 30 ngày qua

Albums

Total Videos Online

Tranh luận sôi nổi nhất 7 ngày qua

Tranh luận sôi nổi nhất 14 ngày qua

Tranh luận sôi nổi nhất 30 ngày qua

10.000 Tin mới nhất

Tin tức Hoa Kỳ

Tin tức Công nghệ
Lên đầu Xuống dưới Lên 3000px Xuống 3000px

Duo Series Movies Portal

Duo Music Portal

Phim Bộ

Tỷ Giá

Thời Tiết

Tin Nóng Nhất 50h

Super News

School Cooking Traveling Portal

Enter Portal

Series Shows and Movies Online

Home Classic Master Page

Donation Ủng hộ $3 cho VietBF
Lên đầu Xuống dưới Lên 3000px Xuống 3000px
Diễn Đàn Người Việt Hải Ngoại. Tự do ngôn luận, an toàn và uy tín. Vì một tương lai tươi đẹp cho các thế hệ Việt Nam hãy ghé thăm chúng tôi, hãy tâm sự với chúng tôi mỗi ngày, mỗi giờ và mỗi giây phút có thể. VietBF.Com Xin cám ơn các bạn, chúc tất cả các bạn vui vẻ và gặp nhiều may mắn.
Welcome to Vietnamese American Community, Vietnamese European, Canadian, Australian Forum, Vietnamese Overseas Forum. Freedom of speech, safety and prestige. For a beautiful future for Vietnamese generations, please visit us, talk to us every day, every hour and every moment possible. VietBF.Com Thank you all and good luck.

Lên đầu Xuống dưới Lên 3000px Xuống 3000px

All times are GMT. The time now is 19:12.
VietBF - Vietnamese Best Forum Copyright ©2005 - 2026
User Alert System provided by Advanced User Tagging (Pro) - vBulletin Mods & Addons Copyright © 2026 DragonByte Technologies Ltd.
Log Out Unregistered

Page generated in 0.12933 seconds with 15 queries