HOME-Au
HOME-Au
24h
24h
USA
USA
GOP
GOP
Phim Bộ
Phim Bộ
Videoauto
VIDEO-Au
Home Classic
Home Classic
Donation
Donation
News Book
News Book
News 50
News 50
worldautoscroll
WORLD-Au
Breaking
Breaking
 

Go Back   VietBF > Others (Closed Forums) > Archive - Old News 2013 (closed)

 
 
Thread Tools
Default Mê uống trà bị rụng hết răng, mắc bệnh lạ
Old 03-24-2013   #1
johnnydan9
R10 Vô Địch Thiên Hạ
 
johnnydan9's Avatar
 
Join Date: Nov 2007
Location: LCN
Posts: 55,869
Thanks: 40
Thanked 564 Times in 514 Posts
Mentioned: 2 Post(s)
Tagged: 0 Thread(s)
Quoted: 1 Post(s)
Rep Power: 75
johnnydan9 Reputation Uy Tín Level 7johnnydan9 Reputation Uy Tín Level 7
johnnydan9 Reputation Uy Tín Level 7johnnydan9 Reputation Uy Tín Level 7johnnydan9 Reputation Uy Tín Level 7johnnydan9 Reputation Uy Tín Level 7johnnydan9 Reputation Uy Tín Level 7johnnydan9 Reputation Uy Tín Level 7johnnydan9 Reputation Uy Tín Level 7johnnydan9 Reputation Uy Tín Level 7johnnydan9 Reputation Uy Tín Level 7johnnydan9 Reputation Uy Tín Level 7johnnydan9 Reputation Uy Tín Level 7
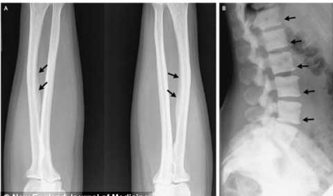
Hiện người phụ nữ (47 tuổi, Michigan, Mỹ) đã được các bác sĩ chẩn đoán mắc chứng bệnh nhiễm độc flour xương – nguyên nhân của căn bệnh này là do người bệnh dùng quá nhiều flour.

Kết quả x-quang cho thấy chất flour đã tạo nên những mảng khoáng bám trên xương của bệnh nhân khi cô uống quá nhiều trà

Người phụ nữ này bắt đầu nghiện uống trà và uống tới 100 gói trà mỗi ngày từ khi cô 17 tuổi.

Khi thấy hiện tượng bị đau và tê cứng lưng, hai cánh tay, hai chân và hai bên hông, cô đã đến Bệnh viện Henry Ford để kiểm tra. Cô cảm thấy
răng của cô cũng bắt đầu dễ gãy hơn và chúng dần dần rụng hết.

Kết quả X-Quang cho thấy xuất hiện những vùng dày đặc bất thường trên xương sống và sự vôi hóa các dây chằng ở cánh tay cô.

Lượng flour trong cơ thể cô cao gấp 4 lần tỷ lệ thông thường. Các bác sĩ điều trị cho người phụ nữ này cho biết chứng bệnh xương nhiễm độc flour là vô cùng hiếm gặp ở các nước Châu Âu.

Tuy nhiên đây lại là căn bệnh khá phổ biến ở những nước có hàm lượng chất flour tự nhiên cao trong nước như ở Ấn Độ hoặc Trung Quốc.

Các bác sĩ này cũng nói thêm rằng, mặc dù flour là chất giúp giúp răng khỏe hơn và ngăn ngừa sâu răng, nhưng với sử dụng với hàm lượng quá lớn tới hơn 20mg một ngày như bệnh nhân này thì thận không thể xử lý được hết vì vậy chúng tạo thành mảng dạng khoáng bám lên xương khiến cô bị đau nhức và tê cứng các xương.

Sau khi giảm lượng trà uống mỗi ngày theo yêu cầu của ác sĩ, người phụ nữ này đã thấy tình trạng sức khỏe của mình được cải thiện hơn. Cô không còn bị đau nhức xương liên tục như trước nữa. Trong thời gian tới cô hy vọng mình có thể dừng hẳn việc uống trà mỗi ngày để có thể hoàn toàn bình phục.
johnnydan9_is_offline  
Attached Thumbnails
Click image for larger version

Name:	ket-qua-x-quang.jpg
Views:	3
Size:	11.2 KB
ID:	453554  
 

Tags
bị rụng hết răng, mắc bệnh lạ, Mê uống trà
User Tag List



 
Lên đầu Xuống dưới Lên 3000px Xuống 3000px

iPad Videos Portal Autoscroll

VietBF Music Portal Autoscroll

iPad News Portal Autoscroll

VietBF Homepage Autoscroll

VietBF Video Autoscroll Portal

USA News Autoscroll Portall

VietBF WORLD Autoscroll Portal

Home Classic

Super Widescreen

Tin nóng nhất 24h qua

Tin nóng nhất 3 ngày qua

Tin nóng nhất 7 ngày qua

Tin nóng nhất 30 ngày qua

Albums

Total Videos Online
Lên đầu Xuống dưới Lên 3000px Xuống 3000px

Tranh luận sôi nổi nhất 7 ngày qua

Tranh luận sôi nổi nhất 14 ngày qua

Tranh luận sôi nổi nhất 30 ngày qua

10.000 Tin mới nhất

Tin tức Hoa Kỳ

Tin tức Công nghệ
Lên đầu Xuống dưới Lên 3000px Xuống 3000px

Super News

School Cooking Traveling Portal

Enter Portal

Series Shows and Movies Online

Home Classic Master Page

Donation Ủng hộ $3 cho VietBF
Lên đầu Xuống dưới Lên 3000px Xuống 3000px
Diễn Đàn Người Việt Hải Ngoại. Tự do ngôn luận, an toàn và uy tín. Vì một tương lai tươi đẹp cho các thế hệ Việt Nam hãy ghé thăm chúng tôi, hãy tâm sự với chúng tôi mỗi ngày, mỗi giờ và mỗi giây phút có thể. VietBF.Com Xin cám ơn các bạn, chúc tất cả các bạn vui vẻ và gặp nhiều may mắn.
Welcome to Vietnamese American Community, Vietnamese European, Canadian, Australian Forum, Vietnamese Overseas Forum. Freedom of speech, safety and prestige. For a beautiful future for Vietnamese generations, please visit us, talk to us every day, every hour and every moment possible. VietBF.Com Thank you all and good luck.

Lên đầu Xuống dưới Lên 3000px Xuống 3000px

All times are GMT. The time now is 04:07.
VietBF - Vietnamese Best Forum Copyright ©2005 - 2025
User Alert System provided by Advanced User Tagging (Pro) - vBulletin Mods & Addons Copyright © 2025 DragonByte Technologies Ltd.
Log Out Unregistered

Page generated in 0.11582 seconds with 13 queries