HOME-Au
HOME-Au
24h
24h
USA
USA
GOP
GOP
Phim Bộ
Phim Bộ
Videoauto
VIDEO-Au
Home Classic
Home Classic
Donation
Donation
News Book
News Book
News 50
News 50
worldautoscroll
WORLD-Au
Breaking
Breaking
 

Go Back   VietBF > Other News|Tin Khác > School | Kiến thức


Reply
 
Thread Tools
  #1  
Old  Default Ung thư “nhảy” từ giai đoạn 1 lên 4 sau hai năm uống một thứ thường xuyên
Thạc sĩ, bác sĩ Nguyễn Duy Anh - Trung tâm Ung bướu, Xạ trị và Y học hạt nhân Quốc Tế, Bệnh viện Đa khoa Phương Đông cho biết, gần đây bác sĩ đã tiếp nhận một trường hợp mắc ung thư "nhảy" từ giai đoạn sớm (giai đoạn 1) sang giai đoạn cuối (giai đoạn 4), có di căn phổi.

Bệnh nhân là nữ, 42 tuổi ở Hải Phòng. Vào tháng 3/2023, bệnh nhân tự sờ thấy u cục tại vú phải, nhức nhẹ nên đi khám và phát hiện ung thư vú ở giai đoạn sớm. Tuy nhiên, bệnh nhân đã không điều trị theo chỉ định của bác sĩ mà về nhà tự uống thuốc lá, thuốc nam.

Thời gian đầu uống thuốc, bệnh nhân cảm thấy các triệu chứng giảm dần nên không đi khám lại. Bệnh nhân nghĩ khối u đang được khống chế.

Thời gian gần đây, bệnh nhân tự sờ thấy u vú tăng kích thước, tình trạng nhức gia tăng, da vú vùng khối u sần chắc nên đã đi thăm khám lại.

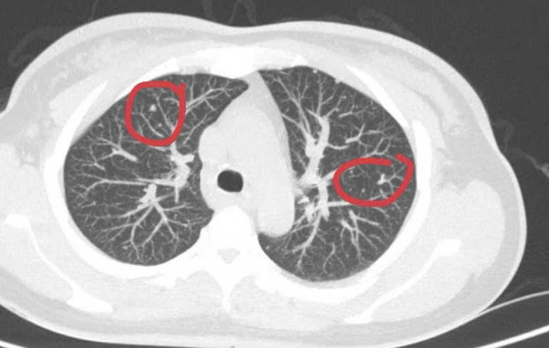
Theo bác sĩ Duy Anh, kết quả khám lâm sàng và chụp CT-scan toàn thân của bệnh nhân phát hiện có khối u vú phải kích thước 25x52mm, nhiều hạch to tròn, phổi hai bên có các nốt mờ ở màng phổi.

Với ung thư vú, các trường hợp phát hiện bệnh ở giai đoạn 1-2 có khả năng chữa khỏi 75-90%. Đặc biệt là ở giai đoạn 1, cứ 10 người mắc ung thư vú ở giai đoạn này thì 9 người chữa khỏi và 90-95% người bệnh sống thêm được 10 năm cho đến hơn 10 năm.

Với ung thư vú ở giai đoạn 3, khối u xâm lấn phần mềm, di căn hạch nách thì khả năng chữa khỏi bệnh sẽ dao động từ 50-70%. Ở giai đoạn 3, nếu được điều trị đúng phác đồ, tỷ lệ sống thêm 10 năm có thể đạt 55-75% trên tổng số người bệnh cùng giai đoạn.

"Với trường hợp của bệnh nhân trên, bệnh đã tiến triển giai đoạn cuối, di căn phổi nên sẽ không có cơ hội chữa khỏi hoàn toàn. Nguy cơ bệnh ung thư kháng thuốc sẽ tăng cao dần theo thời gian, nhất là càng về thời gian cuối", bác sĩ Duy Anh chia sẻ.

Thuốc lá, thuốc nam có chữa được ung thư?

Bác sĩ Duy Anh cho hay, hiện tại chưa có nghiên cứu khoa học nào chứng minh rằng thuốc lá, thuốc nam có thể chữa khỏi ung thư.

Hiện nay, một số thảo dược như: nghệ vàng, nấm linh chi, xạ đen,… được cho là có tác dụng hỗ trợ, nhưng chúng chỉ đóng vai trò bổ trợ, không thể thay thế các phương pháp điều trị chính thống như phẫu thuật, hóa trị hay xạ trị.

"Việc thay thế hoàn toàn các phương pháp điều trị ung thư hiện đại bằng thuốc nam có thể dẫn đến những hậu quả nghiêm trọng", bác sĩ Duy Anh khuyến cáo.

Ngoài ra, người bệnh cần phải lưu ý rằng một số loại thuốc nam có thể tương tác với các thuốc điều trị ung thư, làm giảm hiệu quả điều trị hoặc gây ra các biến chứng nguy hiểm.

Ví dụ, một số thảo dược có thể làm tăng hoặc giảm nồng độ thuốc trong máu, dẫn đến quá liều hoặc giảm hiệu quả điều trị.

Bên cạnh đó, một số loại thuốc nam có thể chứa chất độc hại cho gan, thận.

"Nhiều bệnh nhân khi uống thuốc nam có thể thấy đỡ đau hoặc bớt triệu chứng tạm thời, nhưng thực tế bệnh vẫn âm thầm tiến triển. Khi quay lại bệnh viện, tình trạng bệnh đã tiến triển nặng, người bệnh có thể đã mất cơ hội điều trị tối ưu", bác sĩ Duy Anh cho hay.

Qua trường hợp của bệnh nhân trên, bác sĩ Duy Anh khuyến cáo khi phát hiện mắc ung thư, người bệnh hãy bình tĩnh, giữ tinh thần tỉnh táo để đưa ra quyết định tốt nhất.

"Việc phát hiện ung thư là một cú sốc lớn, nhưng với phương pháp điều trị hiện đại, nhiều loại ung thư có thể được chữa khỏi hoặc kiểm soát nếu phát hiện sớm", bác sĩ Duy Anh nói.

Trường hợp bệnh nhân muốn dùng các loại thuốc nam, thuốc bắc, thực phẩm chức năng… trong quá trình điều trị cần trao đổi với bác sĩ điều trị để nhận được lời khuyên.

Vietbf@Sưu tập
VIETBF Diễn Đàn Hay Nhất Của Người Việt Nam

HOT NEWS 24h

HOT 3 Days

NEWS 3 Days

HOT 7 Days

NEWS 7 Days

HOME

Breaking News

VietOversea

World News

Business News

Car News

Computer News

Game News

USA News

Mobile News

Music News

Movies News

History

Thơ Ca

Sport News

Stranger Stories

Comedy Stories

Cooking Chat

Nice Pictures

Fashion

School

Travelling

Funny Videos

Canada Tin Hay

USA Tin Hay

VietBF Homepage Autoscroll

VietBF Video Autoscroll Portal

Home Classic

Home Classic Master Page


therealrtz
R10 Vô Địch Thiên Hạ
Release: 02-13-2025
Reputation: 234458


Profile:
Join Date: Nov 2014
Posts: 90,678
Last Update: None Rating: None
Attached Thumbnails
Click image for larger version

Name:	Screenshot 2025-02-13 at 21.31.56.png
Views:	0
Size:	623.0 KB
ID:	2489955  
therealrtz_is_offline
Thanks: 28
Thanked 6,709 Times in 5,978 Posts
Mentioned: 4 Post(s)
Tagged: 0 Thread(s)
Quoted: 34 Post(s)
Rep Power: 112
therealrtz Reputation Uy Tín Level 10therealrtz Reputation Uy Tín Level 10therealrtz Reputation Uy Tín Level 10therealrtz Reputation Uy Tín Level 10therealrtz Reputation Uy Tín Level 10therealrtz Reputation Uy Tín Level 10therealrtz Reputation Uy Tín Level 10
therealrtz Reputation Uy Tín Level 10therealrtz Reputation Uy Tín Level 10therealrtz Reputation Uy Tín Level 10therealrtz Reputation Uy Tín Level 10therealrtz Reputation Uy Tín Level 10therealrtz Reputation Uy Tín Level 10therealrtz Reputation Uy Tín Level 10therealrtz Reputation Uy Tín Level 10therealrtz Reputation Uy Tín Level 10therealrtz Reputation Uy Tín Level 10therealrtz Reputation Uy Tín Level 10therealrtz Reputation Uy Tín Level 10therealrtz Reputation Uy Tín Level 10therealrtz Reputation Uy Tín Level 10therealrtz Reputation Uy Tín Level 10therealrtz Reputation Uy Tín Level 10therealrtz Reputation Uy Tín Level 10
Reply

User Tag List



 
Lên đầu Xuống dưới Lên 3000px Xuống 3000px

iPad Videos Portal Autoscroll

VietBF Music Portal Autoscroll

iPad News Portal Autoscroll

VietBF Homepage Autoscroll

VietBF Video Autoscroll Portal

USA News Autoscroll Portall

VietBF WORLD Autoscroll Portal

Home Classic

Super Widescreen

Tin nóng nhất 24h qua

Tin nóng nhất 3 ngày qua

Tin nóng nhất 7 ngày qua

Tin nóng nhất 30 ngày qua

Albums

Total Videos Online
Lên đầu Xuống dưới Lên 3000px Xuống 3000px

Tranh luận sôi nổi nhất 7 ngày qua

Tranh luận sôi nổi nhất 14 ngày qua

Tranh luận sôi nổi nhất 30 ngày qua

10.000 Tin mới nhất

Tin tức Hoa Kỳ

Tin tức Công nghệ
Lên đầu Xuống dưới Lên 3000px Xuống 3000px

Super News

School Cooking Traveling Portal

Enter Portal

Series Shows and Movies Online

Home Classic Master Page

Donation Ủng hộ $3 cho VietBF
Lên đầu Xuống dưới Lên 3000px Xuống 3000px
Diễn Đàn Người Việt Hải Ngoại. Tự do ngôn luận, an toàn và uy tín. Vì một tương lai tươi đẹp cho các thế hệ Việt Nam hãy ghé thăm chúng tôi, hãy tâm sự với chúng tôi mỗi ngày, mỗi giờ và mỗi giây phút có thể. VietBF.Com Xin cám ơn các bạn, chúc tất cả các bạn vui vẻ và gặp nhiều may mắn.
Welcome to Vietnamese American Community, Vietnamese European, Canadian, Australian Forum, Vietnamese Overseas Forum. Freedom of speech, safety and prestige. For a beautiful future for Vietnamese generations, please visit us, talk to us every day, every hour and every moment possible. VietBF.Com Thank you all and good luck.

Lên đầu Xuống dưới Lên 3000px Xuống 3000px

All times are GMT. The time now is 19:06.
VietBF - Vietnamese Best Forum Copyright ©2005 - 2025
User Alert System provided by Advanced User Tagging (Pro) - vBulletin Mods & Addons Copyright © 2025 DragonByte Technologies Ltd.
Log Out Unregistered

Page generated in 0.11917 seconds with 13 queries