HOME-Au
HOME-Au
24h
24h
USA
USA
GOP
GOP
Phim Bộ
Phim Bộ
Videoauto
VIDEO-Au
Home Classic
Home Classic
Donation
Donation
News Book
News Book
News 50
News 50
worldautoscroll
WORLD-Au
Breaking
Breaking
 

Go Back   VietBF > Other News|Tin Khác > School | Kiến thức


Reply
 
Thread Tools
  #1  
Old  Default Tận dụng 'giờ vàng' cứu cụ ông đột quỵ liệt nửa người
Cụ Khái, 80 tuổi, đột quỵ liệt nửa người phải, được đội cấp cứu đột quỵ ngoại viện đến nhà sơ cứu rồi đưa đến viện ngay trong giờ đầu khởi phát triệu chứng.

Ngày 16/1, BS.CKI Trần Thanh Thúy, khoa Thần kinh, Trung tâm Khoa học Thần kinh, Bệnh viện Đa khoa Tâm Anh TP HCM, cho biết ngay khi nhận được điện thoại từ người nhà cụ Khái, bệnh viện nhanh chóng cử đội cấp cứu đột quỵ ngoại viện đến nhà người bệnh. Các bác sĩ trong đội thông báo tình trạng của người bệnh về bệnh viện. Nhờ đó, êkíp ở bệnh viện nắm được trước thông tin bệnh nền của cụ Khái là mỡ máu cao nhiều năm, xơ vữa động mạch mạn tính đã đặt một stent mạch vành, mắc bệnh tăng huyết áp, đái tháo đường, suy thận giai đoạn ba.

Bệnh viện kích hoạt sẵn quy trình cấp cứu đột quỵ Code Stroke, huy động các bác sĩ đa chuyên khoa sâu chờ sẵn tại phòng cấp cứu để tiếp nhận người bệnh. Đồng thời, các bác sĩ chuẩn bị máy móc, thiết bị, sẵn sàng các loại thuốc.

Thời điểm nhập viện, cụ Khái liệt nửa người phải, hiểu câu hỏi của bác sĩ nhưng không trả lời được. Bác sĩ ghi nhận điểm NISHH 14 (NIHSS là thang điểm dùng để đánh giá tiên lượng lâm sàng đối với bệnh nhân đột quỵ cấp). Bệnh nhân có điểm số càng cao phản ánh mức độ đột quỵ càng nặng.

Người bệnh được chụp MRI 3 Tesla sọ não thay vì chụp CT theo quy trình cấp cứu đột quỵ thông thường. Chụp MRI giúp bệnh nhân cao tuổi có bệnh nền suy thận nặng tránh được tác dụng phụ của thuốc cản quang. Đồng thời, kỹ thuật này hỗ trợ đánh giá chính xác thêm các ổ vi xuất huyết (các nốt chảy máu nhỏ) trong não.

"Tất cả chỉ định đều nhằm mục đích tận dụng tối đa 'giờ vàng' để cứu sống và tăng khả năng phục hồi cho người bệnh", bác sĩ Thúy nói, thêm rằng giờ vàng cấp cứu đột quỵ nhồi máu não cấp khoảng 3-4,5 giờ đầu kể từ khi người bệnh khởi phát triệu chứng đột quỵ, tùy trường hợp có thể mở rộng lên 6 giờ hoặc hơn.


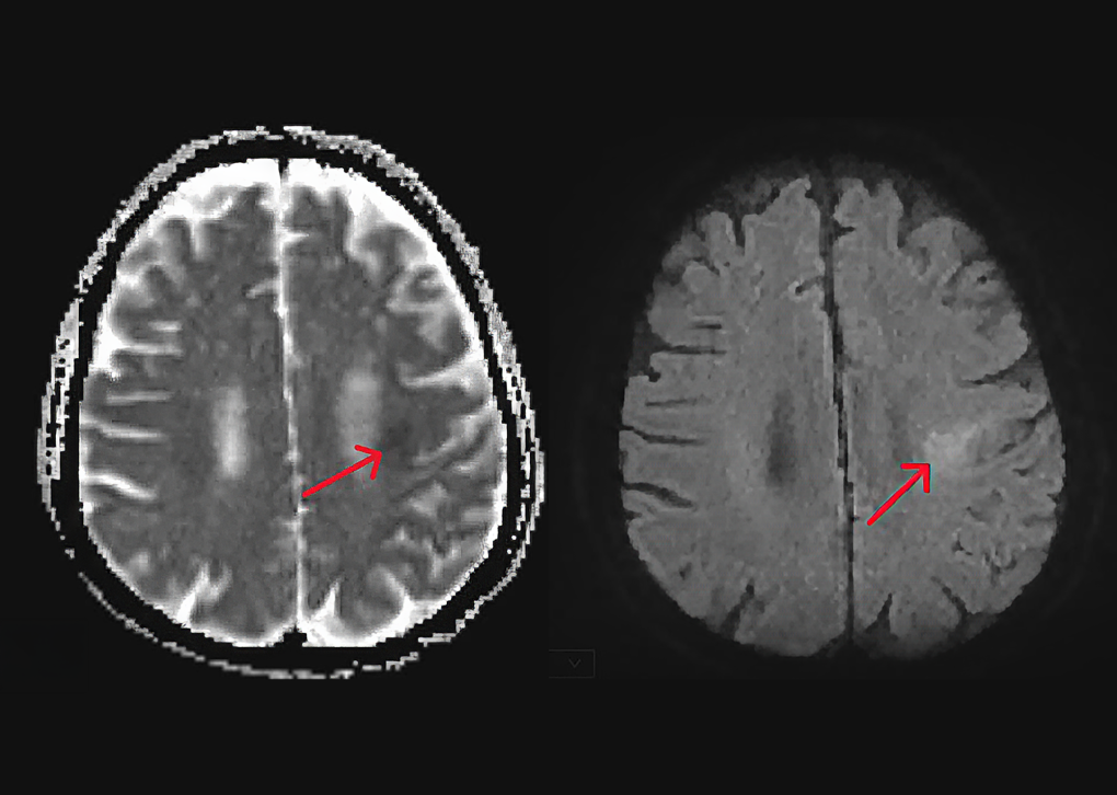
Vị trí nhồi máu não vùng thái dương trái của cụ Khái trên hình chụp MRI 3 Tesla. Ảnh: Bệnh viện Đa khoa Tâm Anh

Kết quả chụp MRI 3 Tesla cho thấy cụ Khái nhồi máu não vùng thái dương bán cầu não trái, không xảy ra tắc động mạch lớn trong não. Bác sĩ chỉ định truyền thuốc tiêu sợi huyết (rTPA) qua đường tĩnh mạch. Liều dùng và tốc độ truyền thuốc được cân chỉnh phù hợp với tình trạng đột quỵ, bệnh nền đồng mắc và tuổi cao của người bệnh.

Sau 30 phút truyền thuốc tiêu sợi huyết, triệu chứng lâm sàng của người bệnh cải thiện, khả năng nói phục hồi nhưng giọng chưa rõ hẳn, có thể cử động và tự nâng nhẹ tay chân hai bên theo yêu cầu của bác sĩ. NISHH còn 5 điểm, giảm 9 điểm so với lúc nhập viện.

Một ngày sau, người bệnh phục hồi tốt, nói chuyện rõ, tự đi đứng, vận động nhẹ, tập phục hồi chức năng sớm theo chỉ định của bác sĩ. Thang điểm NISHH của cụ chỉ còn một điểm, xuất viện sau một tuần. Trước khi xuất viện, người bệnh được tầm soát các yếu tố nguy cơ có thể gây tái phát đột quỵ, kết hợp chăm sóc dinh dưỡng, tập phục hồi chức năng sau đột quỵ, tái khám theo lịch hẹn.


Nhân viên y tế hỗ trợ cụ Khái uống nước trong quá trình tập phục hồi chức năng sau đột quỵ. Ảnh: Bệnh viện Đa khoa Tâm Anh

Đột quỵ là tình trạng cấp cứu khẩn cấp. Khi có các dấu hiệu nghi ngờ như miệng méo, yếu liệt tay chân hoặc nửa người, nói đớ, đau đầu, mờ mắt... người bệnh cần được đưa đến bệnh viện có chuyên môn cấp cứu đột quỵ hoặc gọi 115 để được hỗ trợ, xử lý kịp thời, tránh để lâu nguy hiểm.

Bác sĩ Thanh Thúy khuyên người thuộc nhóm nguy cơ cao đột quỵ như cao tuổi, mắc bệnh nền như rối loạn nhịp tim, mỡ máu cao, đái tháo đường, béo phì, từng đột quỵ... nên tái khám và dùng thuốc theo chỉ định của bác sĩ để kiểm soát bệnh. Khám sức khỏe, tầm soát đột quỵ định kỳ để kịp thời phát hiện, điều trị dự phòng các yếu tố nguy cơ dẫn đến đột quỵ.

VietBF@sưu tập
VIETBF Diễn Đàn Hay Nhất Của Người Việt Nam

HOT NEWS 24h

HOT 3 Days

NEWS 3 Days

HOT 7 Days

NEWS 7 Days

HOME

Breaking News

VietOversea

World News

Business News

Car News

Computer News

Game News

USA News

Mobile News

Music News

Movies News

History

Thơ Ca

Sport News

Stranger Stories

Comedy Stories

Cooking Chat

Nice Pictures

Fashion

School

Travelling

Funny Videos

Canada Tin Hay

USA Tin Hay

VietBF Homepage Autoscroll

VietBF Video Autoscroll Portal

Home Classic

Home Classic Master Page


goodidea
R10 Vô Địch Thiên Hạ
Release: 01-16-2025
Reputation: 207731


Profile:
Join Date: Mar 2020
Posts: 57,057
Last Update: None Rating: None
Attached Thumbnails
Click image for larger version

Name:	45.1.jpg
Views:	0
Size:	133.3 KB
ID:	2478352   Click image for larger version

Name:	45.png
Views:	0
Size:	784.4 KB
ID:	2478353  
goodidea is_online_now
Thanks: 68
Thanked 3,377 Times in 2,915 Posts
Mentioned: 0 Post(s)
Tagged: 0 Thread(s)
Quoted: 34 Post(s)
Rep Power: 73
goodidea Reputation Uy Tín Level 10goodidea Reputation Uy Tín Level 10goodidea Reputation Uy Tín Level 10goodidea Reputation Uy Tín Level 10
goodidea Reputation Uy Tín Level 10goodidea Reputation Uy Tín Level 10goodidea Reputation Uy Tín Level 10goodidea Reputation Uy Tín Level 10goodidea Reputation Uy Tín Level 10goodidea Reputation Uy Tín Level 10goodidea Reputation Uy Tín Level 10goodidea Reputation Uy Tín Level 10goodidea Reputation Uy Tín Level 10goodidea Reputation Uy Tín Level 10goodidea Reputation Uy Tín Level 10goodidea Reputation Uy Tín Level 10goodidea Reputation Uy Tín Level 10goodidea Reputation Uy Tín Level 10goodidea Reputation Uy Tín Level 10goodidea Reputation Uy Tín Level 10goodidea Reputation Uy Tín Level 10goodidea Reputation Uy Tín Level 10goodidea Reputation Uy Tín Level 10goodidea Reputation Uy Tín Level 10goodidea Reputation Uy Tín Level 10goodidea Reputation Uy Tín Level 10
Reply

User Tag List



 
Lên đầu Xuống dưới Lên 3000px Xuống 3000px

iPad Videos Portal Autoscroll

VietBF Music Portal Autoscroll

iPad News Portal Autoscroll

VietBF Homepage Autoscroll

VietBF Video Autoscroll Portal

USA News Autoscroll Portall

VietBF WORLD Autoscroll Portal

Home Classic

Super Widescreen

Tin nóng nhất 24h qua

Tin nóng nhất 3 ngày qua

Tin nóng nhất 7 ngày qua

Tin nóng nhất 30 ngày qua

Albums

Total Videos Online
Lên đầu Xuống dưới Lên 3000px Xuống 3000px

Tranh luận sôi nổi nhất 7 ngày qua

Tranh luận sôi nổi nhất 14 ngày qua

Tranh luận sôi nổi nhất 30 ngày qua

10.000 Tin mới nhất

Tin tức Hoa Kỳ

Tin tức Công nghệ
Lên đầu Xuống dưới Lên 3000px Xuống 3000px

Super News

School Cooking Traveling Portal

Enter Portal

Series Shows and Movies Online

Home Classic Master Page

Donation Ủng hộ $3 cho VietBF
Lên đầu Xuống dưới Lên 3000px Xuống 3000px
Diễn Đàn Người Việt Hải Ngoại. Tự do ngôn luận, an toàn và uy tín. Vì một tương lai tươi đẹp cho các thế hệ Việt Nam hãy ghé thăm chúng tôi, hãy tâm sự với chúng tôi mỗi ngày, mỗi giờ và mỗi giây phút có thể. VietBF.Com Xin cám ơn các bạn, chúc tất cả các bạn vui vẻ và gặp nhiều may mắn.
Welcome to Vietnamese American Community, Vietnamese European, Canadian, Australian Forum, Vietnamese Overseas Forum. Freedom of speech, safety and prestige. For a beautiful future for Vietnamese generations, please visit us, talk to us every day, every hour and every moment possible. VietBF.Com Thank you all and good luck.

Lên đầu Xuống dưới Lên 3000px Xuống 3000px

All times are GMT. The time now is 01:04.
VietBF - Vietnamese Best Forum Copyright ©2005 - 2025
User Alert System provided by Advanced User Tagging (Pro) - vBulletin Mods & Addons Copyright © 2025 DragonByte Technologies Ltd.
Log Out Unregistered

Page generated in 0.10284 seconds with 13 queries