HOME-Au
HOME-Au
24h
24h
USA
USA
GOP
GOP
Phim Bộ
Phim Bộ
Videoauto
VIDEO-Au
Home Classic
Home Classic
Donation
Donation
News Book
News Book
News 50
News 50
worldautoscroll
WORLD-Au
Breaking
Breaking
 

Go Back   VietBF > World Box| Thế Giới > Vietnam News | Tin Việt Nam


Reply
 
Thread Tools
  #1  
Old  Default Ảnh chụp CT gây sốc của bệnh nhân nhiễm sán não
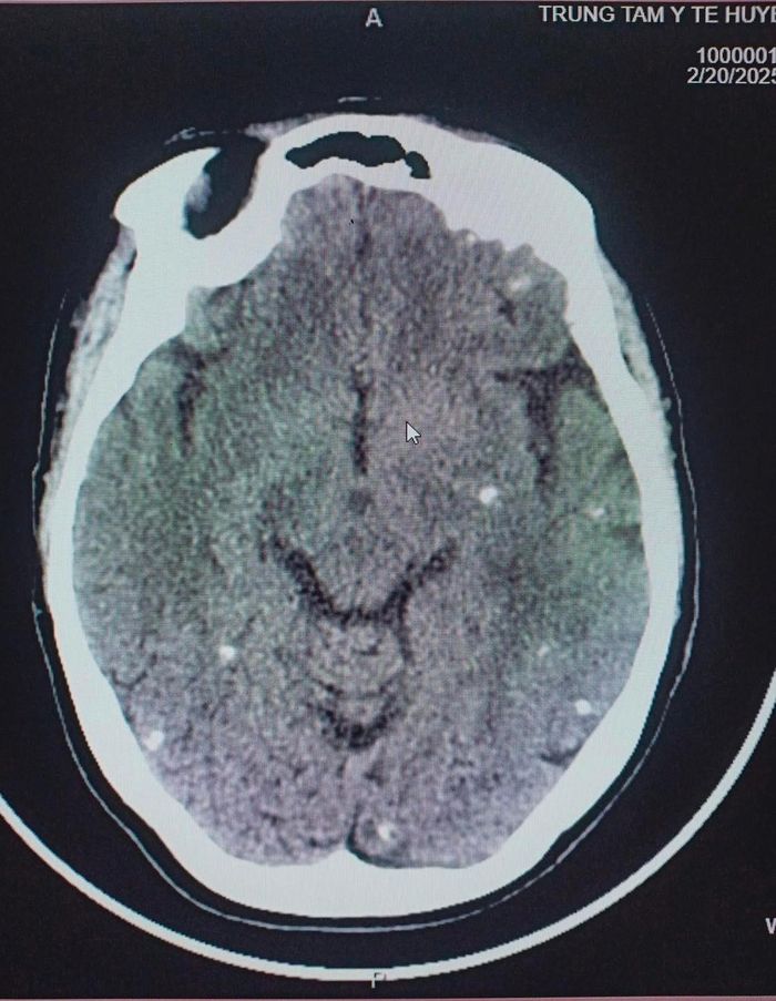
Người bệnh nhập viện với biểu hiện co giật cơ vùng mặt. Kết quả chụp CT khiến bác sĩ không khỏi bất ngờ khi phát hiện sán xuất hiện dày đặc trên khắp cơ thể.

Mới đây, các bác sĩ khoa Nội, Trung tâm Y tế huyện Tân Sơn (Phú Thọ), tiếp nhận và điều trị hai bệnh nhân mắc sán não.

Người đầu tiên là bệnh nhân P.V.C. (47 tuổi, sống tại xã Thu Ngạc) và người thứ 2 là bệnh nhân H.T.H. (71 tuổi, sống tại xã Lai Đồng). Cả hai nhập viện trong tình trạng đau đầu kéo dài, kèm theo các triệu chứng co giật cơ vùng mặt, méo miệng. Đây là những biểu hiện dễ nhầm lẫn với các bệnh lý thần kinh khác như đột quỵ, u não… khiến việc chẩn đoán ban đầu gặp khó khăn.

Sán não là tình trạng ấu trùng sán dây lợn (Taenia solium) ký sinh trong não, hình thành các nang sán (cysticercus), gây ra tổn thương nghiêm trọng. Số lượng kén sán càng nhiều, mức độ ảnh hưởng đến hệ thần kinh càng lớn.




Sán não chi chít trong cơ thể người bệnh trên phim chụp CT. Ảnh: Trung tâm Y tế huyện Tân Sơn.

Người bệnh có thể xuất hiện những cơn đau đầu dai dẳng, buồn nôn, co giật (động kinh), tê bì tay chân, rối loạn cảm giác, mất ngủ hoặc suy nhược thần kinh. Trong một số trường hợp nặng, bệnh nhân bị tăng áp lực nội sọ, rối loạn tâm thần, thậm chí đột tử.

Không chỉ gây tổn thương não, ấu trùng sán còn có thể di chuyển đến các cơ quan khác trong cơ thể. Khi khu trú tại mắt, chúng có thể hình thành nang trong hốc mắt, mi mắt, kết mạc hoặc thủy tinh thể, gây giảm thị lực hoặc mù lòa nếu không được phát hiện sớm.

Sự nguy hiểm của sán não không chỉ đến từ mức độ tổn thương mà còn bởi thời gian ủ bệnh kéo dài. Khi xâm nhập vào cơ thể qua thực phẩm nhiễm sán hoặc tay bẩn đưa trứng sán vào miệng, ấu trùng có thể tồn tại nhiều năm trước khi phát bệnh. Điều này khiến nhiều người chủ quan, không có biện pháp phòng tránh phù hợp, dẫn đến nguy cơ mắc bệnh tăng cao.

Dù nguy hiểm, sán não là bệnh có thể phòng tránh được nếu tuân thủ các nguyên tắc vệ sinh thực phẩm và sinh hoạt an toàn. Để bảo vệ bản thân và gia đình, cần thực hiện những biện pháp sau:

Ăn chín, uống sôi: Tránh ăn tiết canh, lòng lợn, gỏi, thịt lợn tái hoặc các loại rau sống trồng dưới nước như rau muống, rau cần, rau ngổ, vì đây là những nguồn thực phẩm dễ nhiễm sán nhất. Rau trước khi ăn cần được rửa sạch và nấu chín kỹ.
Vệ sinh cá nhân và môi trường sống: Rửa tay sạch bằng xà phòng trước khi ăn và sau khi đi vệ sinh. Không đại tiện bừa bãi, không nuôi lợn thả rông, giữ gìn môi trường sống sạch sẽ để hạn chế nguy cơ phát tán trứng sán.
Chủ động tẩy sán định kỳ: Khi có dấu hiệu đau đầu kéo dài, hoa mắt, chóng mặt, rối loạn thị giác hoặc các triệu chứng thần kinh bất thường, cần đến cơ sở y tế để kiểm tra và điều trị kịp thời. Những người sống trong khu vực có nguy cơ cao nên thực hiện tẩy giun sán định kỳ theo khuyến cáo của bác sĩ.
VIETBF Diễn Đàn Hay Nhất Của Người Việt Nam

HOT NEWS 24h

HOT 3 Days

NEWS 3 Days

HOT 7 Days

NEWS 7 Days

HOME

Breaking News

VietOversea

World News

Business News

Car News

Computer News

Game News

USA News

Mobile News

Music News

Movies News

History

Thơ Ca

Sport News

Stranger Stories

Comedy Stories

Cooking Chat

Nice Pictures

Fashion

School

Travelling

Funny Videos

Canada Tin Hay

USA Tin Hay

VietBF Homepage Autoscroll

VietBF Video Autoscroll Portal

Home Classic

Home Classic Master Page


miro1510
R9 Tuyệt Đỉnh Tôn Sư
Release: 03-20-2025
Reputation: 13829


Profile:
Join Date: Oct 2014
Posts: 46,966
Last Update: None Rating: None
Attached Thumbnails
Click image for larger version

Name:	5f65cdacc6e22fbc76f3.jpg
Views:	0
Size:	86.8 KB
ID:	2504145  
miro1510_is_offline
Thanks: 9
Thanked 2,092 Times in 1,931 Posts
Mentioned: 3 Post(s)
Tagged: 0 Thread(s)
Quoted: 8 Post(s)
Rep Power: 58
miro1510 Reputation Uy Tín Level 6
miro1510 Reputation Uy Tín Level 6miro1510 Reputation Uy Tín Level 6miro1510 Reputation Uy Tín Level 6miro1510 Reputation Uy Tín Level 6miro1510 Reputation Uy Tín Level 6miro1510 Reputation Uy Tín Level 6miro1510 Reputation Uy Tín Level 6miro1510 Reputation Uy Tín Level 6miro1510 Reputation Uy Tín Level 6miro1510 Reputation Uy Tín Level 6miro1510 Reputation Uy Tín Level 6miro1510 Reputation Uy Tín Level 6miro1510 Reputation Uy Tín Level 6miro1510 Reputation Uy Tín Level 6miro1510 Reputation Uy Tín Level 6miro1510 Reputation Uy Tín Level 6
Reply

User Tag List



 
Lên đầu Xuống dưới Lên 3000px Xuống 3000px

iPad Videos Portal Autoscroll

VietBF Music Portal Autoscroll

iPad News Portal Autoscroll

VietBF Homepage Autoscroll

VietBF Video Autoscroll Portal

USA News Autoscroll Portall

VietBF WORLD Autoscroll Portal

Home Classic

Super Widescreen

iPad World Portal Autoscroll

iPad USA Portal Autoscroll

Phim Bộ Online

Tin nóng nhất 24h qua

Tin nóng nhất 3 ngày qua

Tin nóng nhất 7 ngày qua

Tin nóng nhất 30 ngày qua

Albums

Total Videos Online
Lên đầu Xuống dưới Lên 3000px Xuống 3000px

Tranh luận sôi nổi nhất 7 ngày qua

Tranh luận sôi nổi nhất 14 ngày qua

Tranh luận sôi nổi nhất 30 ngày qua

10.000 Tin mới nhất

Tin tức Hoa Kỳ

Tin tức Công nghệ
Lên đầu Xuống dưới Lên 3000px Xuống 3000px

Super News

School Cooking Traveling Portal

Enter Portal

Series Shows and Movies Online

Home Classic Master Page

Donation Ủng hộ $3 cho VietBF
Lên đầu Xuống dưới Lên 3000px Xuống 3000px
Diễn Đàn Người Việt Hải Ngoại. Tự do ngôn luận, an toàn và uy tín. Vì một tương lai tươi đẹp cho các thế hệ Việt Nam hãy ghé thăm chúng tôi, hãy tâm sự với chúng tôi mỗi ngày, mỗi giờ và mỗi giây phút có thể. VietBF.Com Xin cám ơn các bạn, chúc tất cả các bạn vui vẻ và gặp nhiều may mắn.
Welcome to Vietnamese American Community, Vietnamese European, Canadian, Australian Forum, Vietnamese Overseas Forum. Freedom of speech, safety and prestige. For a beautiful future for Vietnamese generations, please visit us, talk to us every day, every hour and every moment possible. VietBF.Com Thank you all and good luck.

Lên đầu Xuống dưới Lên 3000px Xuống 3000px

All times are GMT. The time now is 20:18.
VietBF - Vietnamese Best Forum Copyright ©2005 - 2025
User Alert System provided by Advanced User Tagging (Pro) - vBulletin Mods & Addons Copyright © 2025 DragonByte Technologies Ltd.
Log Out Unregistered

Page generated in 0.10454 seconds with 13 queries