HOME-Au
HOME-Au
24h
24h
USA
USA
GOP
GOP
Phim Bộ
Phim Bộ
Videoauto
VIDEO-Au
Home Classic
Home Classic
Donation
Donation
News Book
News Book
News 50
News 50
worldautoscroll
WORLD-Au
Breaking
Breaking
 

Go Back   VietBF > World Box| Thế Giới > Vietnam News | Tin Việt Nam


Reply
 
Thread Tools
  #1  
Old  Default Thiếu niên đột quỵ não khi mới 17 tuổi: Quá hy hữu
Đau đầu, chóng mặt, tự mua thuốc về uống, dần dần, thiếu niên 17 tuổi bị yếu nửa người, đi viện được chẩn đoán đột quỵ.

Tin từ Bệnh viện Việt Nam - Thụy Điển Uông Bí (Quảng Ninh) cho biết, khoa Tâm thần kinh cơ xương khớp của bệnh viện vừa tiếp nhận và điều trị cho 1 trường hợp 17 tuổi bị đột quỵ não.
Người bệnh nhập viện trong tình trạng đau đầu chóng mặt, yếu nửa người trái. Theo gia đình cho biết người bệnh hoàn toàn khỏe mạnh, không có bệnh lý nền, thể trạng béo phì. Khoảng vài ngày trước khi nhập viện, người bệnh có kêu đau đầu, chóng mặt, đã tự mua thuốc về uống nhưng không đỡ.
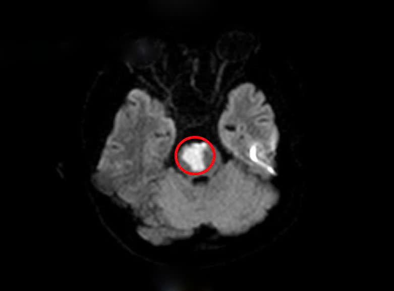
Sau khi khai thác tiền sử, các bác sĩ nghĩ nhiều đến tình trạng đột quỵ não và cho chỉ định tiến hành chụp MRI sọ não. Kết quả cho thấy người bệnh có khối nhồi máu tiểu não, cầu não do tắc động mạch thân nền.


Tổn thương nhồi máu vùng tiểu não của người bệnh(Vùng khoanh tròn màu đỏ)

Theo bác sĩ, trên kết quả xét nghiệm máu có rối loạn lipid máu, một yếu tố nguy cơ dẫn đến các vấn đề tim mạch và mạch máu não. Ngoài ra khi làm các xét nghiệm chuyên sâu, người bệnh được phát hiện bất thường trong hệ gen gây tăng nguy cơ tạo huyết khối tắc mạch.

Trường hợp người bệnh rất trẻ, nhưng lại có bệnh lý giữa nhồi máu tiểu não, cầu não và rối loạn lipid máu đã dẫn đến một tình trạng rất nghiêm trọng.

Các bác sĩ đã nhanh chóng thực hiện các biện pháp cấp cứu, hội chẩn cùng Trung tâm đột quỵ Bệnh viện Bạch Mai và có phương pháp điều trị phù hợp cho người bệnh.

Sau quá trình điều trị dài ngày và phục hồi, người bệnh đã dần ổn định và hồi phục chức năng vận động cơ bản. Người bệnh được theo dõi sức khỏe và điều trị bằng phương pháp tập phục hồi chức năng để phục hồi khả năng vận động của cơ thể.
Bác sĩ Đặng Thị Thư Vy - Trưởng khoa, Khoa Tâm thần kinh – Cơ xương khớp, Bệnh viện Việt Nam - Thụy Điển Uông Bí cho biết, thiếu niên 17 tuổi bị đột quỵ não là trường hợp cảnh báo người dân về tầm quan trọng của việc theo dõi và chăm sóc sức khỏe bản thân, đặc biệt là không nên tự ý điều trị tại nhà khiến bệnh lý trầm trọng hơn.

Người dân nên duy trì chế độ ăn uống cân bằng, hạn chế thực phẩm nhiều cholesterol, thường xuyên tập thể dục và kiểm soát cân nặng.

Đặc biệt, với những người có tiền sử gia đình mắc bệnh tim mạch, đột quỵ hoặc có các yếu tố nguy cơ như huyết áp cao, đái tháo đường, việc kiểm tra sức khỏe định kỳ càng trở nên quan trọng.

VietBF@ sưu tập
VIETBF Diễn Đàn Hay Nhất Của Người Việt Nam

HOT NEWS 24h

HOT 3 Days

NEWS 3 Days

HOT 7 Days

NEWS 7 Days

HOME

Breaking News

VietOversea

World News

Business News

Car News

Computer News

Game News

USA News

Mobile News

Music News

Movies News

History

Thơ Ca

Sport News

Stranger Stories

Comedy Stories

Cooking Chat

Nice Pictures

Fashion

School

Travelling

Funny Videos

Canada Tin Hay

USA Tin Hay

10.000 Tin mới nhất

Tin nóng nhất 24h qua

Super News

Tin tức Hoa Kỳ


PinaColada
R11 Tuyệt Thế Thiên Hạ
Release: 02-21-2025
Reputation: 136901


Profile:
Join Date: Oct 2013
Posts: 116,980
Last Update: None Rating: None
Attached Thumbnails
Click image for larger version

Name:	461.jpg
Views:	0
Size:	25.9 KB
ID:	2493036  
PinaColada_is_offline
Thanks: 9
Thanked 7,829 Times in 6,959 Posts
Mentioned: 2 Post(s)
Tagged: 0 Thread(s)
Quoted: 23 Post(s)
Rep Power: 134
PinaColada Reputation Uy Tín Level 9PinaColada Reputation Uy Tín Level 9PinaColada Reputation Uy Tín Level 9PinaColada Reputation Uy Tín Level 9PinaColada Reputation Uy Tín Level 9
PinaColada Reputation Uy Tín Level 9PinaColada Reputation Uy Tín Level 9PinaColada Reputation Uy Tín Level 9PinaColada Reputation Uy Tín Level 9PinaColada Reputation Uy Tín Level 9PinaColada Reputation Uy Tín Level 9PinaColada Reputation Uy Tín Level 9PinaColada Reputation Uy Tín Level 9PinaColada Reputation Uy Tín Level 9PinaColada Reputation Uy Tín Level 9PinaColada Reputation Uy Tín Level 9PinaColada Reputation Uy Tín Level 9PinaColada Reputation Uy Tín Level 9PinaColada Reputation Uy Tín Level 9PinaColada Reputation Uy Tín Level 9PinaColada Reputation Uy Tín Level 9PinaColada Reputation Uy Tín Level 9PinaColada Reputation Uy Tín Level 9PinaColada Reputation Uy Tín Level 9PinaColada Reputation Uy Tín Level 9PinaColada Reputation Uy Tín Level 9
Reply

User Tag List



 
Lên đầu Xuống dưới Lên 3000px Xuống 3000px

VietBF Homepage Autoscroll

VietBF Video Autoscroll Portal

USA News Autoscroll Portall

VietBF WORLD Autoscroll Portal

Home Classic

Super Widescreen

Tin nóng nhất 24h qua

Tin nóng nhất 3 ngày qua

Tin nóng nhất 7 ngày qua

Tin nóng nhất 30 ngày qua

Albums

Total Videos Online
Lên đầu Xuống dưới Lên 3000px Xuống 3000px

Tranh luận sôi nổi nhất 7 ngày qua

Tranh luận sôi nổi nhất 14 ngày qua

Tranh luận sôi nổi nhất 30 ngày qua

10.000 Tin mới nhất

Tin tức Hoa Kỳ

Tin tức Công nghệ
Lên đầu Xuống dưới Lên 3000px Xuống 3000px

Super News

School Cooking Traveling Portal

Enter Portal

Series Shows and Movies Online

SERIES ONLINE 1

Donation Ủng hộ $3 cho VietBF
Lên đầu Xuống dưới Lên 3000px Xuống 3000px
Diễn Đàn Người Việt Hải Ngoại. Tự do ngôn luận, an toàn và uy tín. Vì một tương lai tươi đẹp cho các thế hệ Việt Nam hãy ghé thăm chúng tôi, hãy tâm sự với chúng tôi mỗi ngày, mỗi giờ và mỗi giây phút có thể. VietBF.Com Xin cám ơn các bạn, chúc tất cả các bạn vui vẻ và gặp nhiều may mắn.
Welcome to Vietnamese American Community, Vietnamese European, Canadian, Australian Forum, Vietnamese Overseas Forum. Freedom of speech, safety and prestige. For a beautiful future for Vietnamese generations, please visit us, talk to us every day, every hour and every moment possible. VietBF.Com Thank you all and good luck.

Lên đầu Xuống dưới Lên 3000px Xuống 3000px

All times are GMT. The time now is 04:04.
VietBF - Vietnamese Best Forum Copyright ©2005 - 2025
User Alert System provided by Advanced User Tagging (Pro) - vBulletin Mods & Addons Copyright © 2025 DragonByte Technologies Ltd.
Log Out Unregistered

Page generated in 0.11062 seconds with 13 queries