HOME-Au
HOME-Au
24h
24h
USA
USA
GOP
GOP
Phim Bộ
Phim Bộ
Videoauto
VIDEO-Au
Home Classic
Home Classic
Donation
Donation
News Book
News Book
News 50
News 50
worldautoscroll
WORLD-Au
Breaking
Breaking
 

Go Back   VietBF > Other News|Tin Khác > School | Kiến thức


Reply
 
Thread Tools
  #1  
Old  Default Bác sĩ lý giải sự thật về 'lá phổi trắng' của Từ Hy Viên trước khi qua đời
Theo như khi nhập viện tại thị trấn Hakone, tỉnh Kanagawa (Nhật Bản), nữ diễn viên Từ Hy Viên đã có dấu hiệu suy hô hấp với nồng độ oxy trong máu chỉ còn 89% (trong khi mức bình thường khoảng 95%), khiến Từ Hy Viên đột ngột qua đời cho đến nay vẫn gây ra nhiều tranh cãi và thu hút sự quan tâm của dư luận về hồ sơ bệnh án của Từ Hy Viên cũng bị rò rỉ, hé lộ những diễn biến sức khỏe của cô trước khi qua đời.

Trang 163 đưa tin, kết quả khám nghiệm thi thể diễn viên Từ Hy Viên đã được công bố, xác định nguyên nhân chính dẫn đến cái chết của cô là virus cúm A tấn công hệ thống hô hấp, khiến bệnh tình diễn tiến nghiêm trọng hơn.

Sự ra đi của Từ Hy Viên đang gây ra nhiều tranh cãi. Nguồn: Weibo

Hồ sơ bệnh án của Từ Hy Viên cũng bị rò rỉ, hé lộ những diễn biến sức khỏe của cô trước khi qua đời. Theo đó, khi nhập viện tại thị trấn Hakone, tỉnh Kanagawa (Nhật Bản), nữ diễn viên đã có dấu hiệu suy hô hấp với nồng độ oxy trong máu chỉ còn 89% (trong khi mức bình thường khoảng 95%).

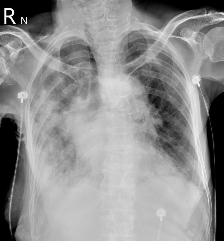
Bên cạnh đó, nhiều thông tin cho biết, khi tình trạng của Từ Hy Viên trở nặng, kết quả chụp CT cho thấy cả hai lá phổi của Từ Hy Viên đã trắng xóa. Không lâu sau, cô trút hơi thở cuối cùng.

Ngày 5/2, bác sĩ Tô Nhất Phong, chuyên khoa lồng ngực tại chi nhánh Dương Minh của Bệnh viện Thống nhất thành phố Đài Bắc (Đài Loan, Trung Quốc), giải thích rõ hơn về tình trạng "lá phổi trắng" của nữ diễn viên xấu số. Theo bác sĩ này, "phổi trắng xóa" thực chất phản ánh tình trạng viêm phổi nặng dẫn đến khó thở.

Khi viêm phổi nặng xảy ra, phế nang sẽ chứa đầy đờm và nước bị viêm. Khi phế nang phủ đầy đờm và nước, không khí không thể vào. Do đó, theo bác sĩ họ Tô, phổi trắng thực chất là "bệnh nhân bị chính đờm của mình nhấn chìm".

Hình ảnh phổi trắng xóa của một bệnh nhân từng được bác sĩ Tô Nhất Phong chia sẻ. Nguồn: BSCC

Bác sĩ Tô nói thêm, khi phổi trắng xuất hiện, bệnh nhân thở mạnh nhưng phổi mất khả năng trao đổi khí, oxy trong máu tiếp tục giảm. Khi độ bão hòa oxy trong máu giảm xuống dưới 89%, đó là tình trạng thiếu oxy. Nếu không được điều trị, bệnh nhân có thể tử vong trong vòng nửa ngày hoặc vài giờ do ngừng tim và ngừng hô hấp.

Cũng theo bác sĩ Tô, truyền thông Đài Loan (Trung Quốc) đang tranh luận về nguyên nhân tử vong của cô là do viêm phổi hay nhiễm trùng huyết nhưng trên thực tế, đây là hai mặt của một đồng xu. Viêm phổi do nhiễm trùng và các lý do khác trong khi nhiễm trùng huyết là phản ứng viêm toàn thân do nhiễm trùng và các lý do khác. Vị bác sĩ nhấn mạnh rằng viêm phổi và nhiễm trùng huyết thường tồn tại cùng một lúc và không phải là những căn bệnh loại trừ lẫn nhau.
VIETBF Diễn Đàn Hay Nhất Của Người Việt Nam

HOT NEWS 24h

HOT 3 Days

NEWS 3 Days

HOT 7 Days

NEWS 7 Days

HOME

Breaking News

VietOversea

World News

Business News

Car News

Computer News

Game News

USA News

Mobile News

Music News

Movies News

History

Thơ Ca

Sport News

Stranger Stories

Comedy Stories

Cooking Chat

Nice Pictures

Fashion

School

Travelling

Funny Videos

Canada Tin Hay

USA Tin Hay

VietBF Homepage Autoscroll

VietBF Video Autoscroll Portal

Home Classic

Home Classic Master Page


vuitoichat
R11 Tuyệt Thế Thiên Hạ
Release: 02-05-2025
Reputation: 370292


Profile:
Join Date: Jan 2008
Posts: 148,211
Last Update: None Rating: None
Attached Thumbnails
Click image for larger version

Name:	tu-hy-vien-97679.png
Views:	0
Size:	509.1 KB
ID:	2486513  
vuitoichat_is_offline
Thanks: 11
Thanked 14,060 Times in 11,223 Posts
Mentioned: 3 Post(s)
Tagged: 1 Thread(s)
Quoted: 44 Post(s)
Rep Power: 184
vuitoichat Reputation Uy Tín Level 10vuitoichat Reputation Uy Tín Level 10vuitoichat Reputation Uy Tín Level 10vuitoichat Reputation Uy Tín Level 10vuitoichat Reputation Uy Tín Level 10
vuitoichat Reputation Uy Tín Level 10vuitoichat Reputation Uy Tín Level 10vuitoichat Reputation Uy Tín Level 10
Reply

User Tag List



 
Lên đầu Xuống dưới Lên 3000px Xuống 3000px

VietBF Homepage Autoscroll

VietBF Video Autoscroll Portal

USA News Autoscroll Portall

VietBF WORLD Autoscroll Portal

Home Classic

Super Widescreen

Tin nóng nhất 24h qua

Tin nóng nhất 3 ngày qua

Tin nóng nhất 7 ngày qua

Tin nóng nhất 30 ngày qua

Albums

Total Videos Online
Lên đầu Xuống dưới Lên 3000px Xuống 3000px

Tranh luận sôi nổi nhất 7 ngày qua

Tranh luận sôi nổi nhất 14 ngày qua

Tranh luận sôi nổi nhất 30 ngày qua

10.000 Tin mới nhất

Tin tức Hoa Kỳ

Tin tức Công nghệ
Lên đầu Xuống dưới Lên 3000px Xuống 3000px

Super News

School Cooking Traveling Portal

Enter Portal

Series Shows and Movies Online

Home Classic Master Page

Donation Ủng hộ $3 cho VietBF
Lên đầu Xuống dưới Lên 3000px Xuống 3000px
Diễn Đàn Người Việt Hải Ngoại. Tự do ngôn luận, an toàn và uy tín. Vì một tương lai tươi đẹp cho các thế hệ Việt Nam hãy ghé thăm chúng tôi, hãy tâm sự với chúng tôi mỗi ngày, mỗi giờ và mỗi giây phút có thể. VietBF.Com Xin cám ơn các bạn, chúc tất cả các bạn vui vẻ và gặp nhiều may mắn.
Welcome to Vietnamese American Community, Vietnamese European, Canadian, Australian Forum, Vietnamese Overseas Forum. Freedom of speech, safety and prestige. For a beautiful future for Vietnamese generations, please visit us, talk to us every day, every hour and every moment possible. VietBF.Com Thank you all and good luck.

Lên đầu Xuống dưới Lên 3000px Xuống 3000px

All times are GMT. The time now is 03:12.
VietBF - Vietnamese Best Forum Copyright ©2005 - 2025
User Alert System provided by Advanced User Tagging (Pro) - vBulletin Mods & Addons Copyright © 2025 DragonByte Technologies Ltd.
Log Out Unregistered

Page generated in 0.12504 seconds with 15 queries