HOME-Au
HOME-Au
24h
24h
USA
USA
GOP
GOP
Phim Bộ
Phim Bộ
Videoauto
VIDEO-Au
Home Classic
Home Classic
Donation
Donation
News Book
News Book
News 50
News 50
worldautoscroll
WORLD-Au
Breaking
Breaking
 

Go Back   VietBF > Other News|Tin Khác > School | Kiến thức


Reply
 
Thread Tools
  #1  
Old  Default 7 nhóm người có nguy cơ cao mắc bệnh bạch hầu
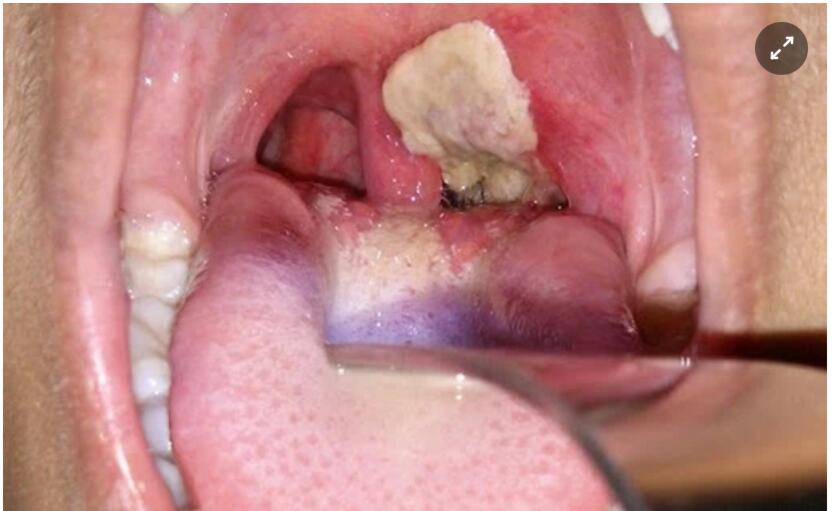
Bạch hầu là bệnh nhiễm khuẩn cấp tính nguy hiểm, có thể gây biến chứng nặng đến nguy hiểm tính mạng trong vòng 6-10 ngày.


Bất cứ ai cũng có nguy cơ mắc bệnh bạch hầu. Ảnh: HCDC.
Theo ĐD. Hà Thị Thanh Hoa, khoa Dự phòng và Kiểm soát nhiễm khuẩn, Bệnh viện Nhi Trung ương, bạch hầu là bệnh nhiễm khuẩn cấp tính có giả mạc ở tuyến hạnh nhân, hầu họng, thanh quản, mũi. Bệnh cũng có thể xuất hiện trên da, các màng niêm mạc khác như kết mạc mắt hoặc bộ phận sinh dục.

Đây là bệnh vừa nhiễm trùng vừa nhiễm độc, các tổn thương nghiêm trọng của bệnh chủ yếu là do ngoại độc tố của vi khuẩn bạch hầu gây ra.

Vi khuẩn Corynebacterium diphtheriae thuộc họ Corynebacteriaceae là nguyên nhân gây bệnh bạch hầu. Vi khuẩn Corynebacterium diphtheriae có 3 type là Gravis, Mitis và Intermedius.

Thời gian ủ bệnh thường từ 2 đến 5 ngày, có thể lâu hơn. Thời kỳ lây truyền bệnh thường không cố định, có thể kéo dài khoảng 2 tuần hoặc ngắn hơn, ít nhất là trên 4 tuần.

Người bệnh có thể đào thải vi khuẩn từ thời kỳ khởi phát hoặc từ cuối thời kỳ ủ bệnh. Người lành mang vi khuẩn bạch hầu có thể từ vài ngày đến 3-4 tuần, hiếm có trường hợp mang vi khuẩn mạn tính kéo dài trên 6 tháng.

Bất cứ độ tuổi nào cũng có thể mắc bệnh bạch hầu. Tuy nhiên, vẫn có một số trường hợp có nguy cơ mắc bệnh cao hơn những người khác:

Trẻ và người lớn tiếp xúc với bệnh nhân mắc/nghi ngờ mắc bệnh bạch hầu hoặc sống tại các khu vực nguy cơ cao.
Trẻ em và người lớn chưa được tiêm vaccine phòng bệnh bạch hầu theo lịch hoặc tiêm phòng bạch hầu chưa đầy đủ.
Người đi du lịch đến vùng dịch tễ.
Những người sống trong điều kiện đông đúc, mất vệ sinh.
Trẻ em dưới 15 tuổi chưa có miễn dịch.
Trẻ sơ sinh có miễn dịch thụ động từ mẹ truyền sang con nên không dễ mắc bệnh. Tuy nhiên, miễn dịch thụ động sẽ mất đi khi trẻ 6 tháng - 1 tuổi. Nếu không được tiêm vaccine, trẻ có nguy cơ mắc bệnh cao.
Những người suy giảm miễn dịch rất dễ mắc bệnh và có tỷ lệ tái nhiễm bệnh.
Bạch hầu có tốc độ lây lan nhanh, biến chứng nguy hiểm và đặc biệt là tỷ lệ gây bệnh nặng cao. Do đó, dù là trẻ em hay người lớn cũng cần tiêm chủng vaccine đầy đủ. Bên cạnh đó, người dân nên đến bệnh viện điều trị ngay khi có những triệu chứng bệnh để tránh những hệ lụy đáng tiếc về sau.

VietBF@ sưu tập
VIETBF Diễn Đàn Hay Nhất Của Người Việt Nam

HOT NEWS 24h

HOT 3 Days

NEWS 3 Days

HOT 7 Days

NEWS 7 Days

HOME

Breaking News

VietOversea

World News

Business News

Car News

Computer News

Game News

USA News

Mobile News

Music News

Movies News

History

Thơ Ca

Sport News

Stranger Stories

Comedy Stories

Cooking Chat

Nice Pictures

Fashion

School

Travelling

Funny Videos

Canada Tin Hay

USA Tin Hay

VietBF Homepage Autoscroll

VietBF Video Autoscroll Portal

Home Classic

Home Classic Master Page


PinaColada
R11 Tuyệt Thế Thiên Hạ
Release: 11-22-2024
Reputation: 136913


Profile:
Join Date: Oct 2013
Posts: 117,540
Last Update: None Rating: None
Attached Thumbnails
Click image for larger version

Name:	361.jpg
Views:	0
Size:	39.9 KB
ID:	2456957  
PinaColada_is_offline
Thanks: 9
Thanked 7,835 Times in 6,965 Posts
Mentioned: 2 Post(s)
Tagged: 0 Thread(s)
Quoted: 23 Post(s)
Rep Power: 135
PinaColada Reputation Uy Tín Level 9PinaColada Reputation Uy Tín Level 9PinaColada Reputation Uy Tín Level 9PinaColada Reputation Uy Tín Level 9PinaColada Reputation Uy Tín Level 9
PinaColada Reputation Uy Tín Level 9PinaColada Reputation Uy Tín Level 9PinaColada Reputation Uy Tín Level 9PinaColada Reputation Uy Tín Level 9PinaColada Reputation Uy Tín Level 9PinaColada Reputation Uy Tín Level 9PinaColada Reputation Uy Tín Level 9PinaColada Reputation Uy Tín Level 9PinaColada Reputation Uy Tín Level 9PinaColada Reputation Uy Tín Level 9PinaColada Reputation Uy Tín Level 9PinaColada Reputation Uy Tín Level 9PinaColada Reputation Uy Tín Level 9PinaColada Reputation Uy Tín Level 9PinaColada Reputation Uy Tín Level 9PinaColada Reputation Uy Tín Level 9PinaColada Reputation Uy Tín Level 9PinaColada Reputation Uy Tín Level 9PinaColada Reputation Uy Tín Level 9PinaColada Reputation Uy Tín Level 9PinaColada Reputation Uy Tín Level 9
Reply

User Tag List



 
Lên đầu Xuống dưới Lên 3000px Xuống 3000px

VietBF Homepage Autoscroll

VietBF Video Autoscroll Portal

USA News Autoscroll Portall

VietBF WORLD Autoscroll Portal

Home Classic

Super Widescreen

Tin nóng nhất 24h qua

Tin nóng nhất 3 ngày qua

Tin nóng nhất 7 ngày qua

Tin nóng nhất 30 ngày qua

Albums

Total Videos Online
Lên đầu Xuống dưới Lên 3000px Xuống 3000px

Tranh luận sôi nổi nhất 7 ngày qua

Tranh luận sôi nổi nhất 14 ngày qua

Tranh luận sôi nổi nhất 30 ngày qua

10.000 Tin mới nhất

Tin tức Hoa Kỳ

Tin tức Công nghệ
Lên đầu Xuống dưới Lên 3000px Xuống 3000px

Super News

School Cooking Traveling Portal

Enter Portal

Series Shows and Movies Online

Home Classic Master Page

Donation Ủng hộ $3 cho VietBF
Lên đầu Xuống dưới Lên 3000px Xuống 3000px
Diễn Đàn Người Việt Hải Ngoại. Tự do ngôn luận, an toàn và uy tín. Vì một tương lai tươi đẹp cho các thế hệ Việt Nam hãy ghé thăm chúng tôi, hãy tâm sự với chúng tôi mỗi ngày, mỗi giờ và mỗi giây phút có thể. VietBF.Com Xin cám ơn các bạn, chúc tất cả các bạn vui vẻ và gặp nhiều may mắn.
Welcome to Vietnamese American Community, Vietnamese European, Canadian, Australian Forum, Vietnamese Overseas Forum. Freedom of speech, safety and prestige. For a beautiful future for Vietnamese generations, please visit us, talk to us every day, every hour and every moment possible. VietBF.Com Thank you all and good luck.

Lên đầu Xuống dưới Lên 3000px Xuống 3000px

All times are GMT. The time now is 21:52.
VietBF - Vietnamese Best Forum Copyright ©2005 - 2025
User Alert System provided by Advanced User Tagging (Pro) - vBulletin Mods & Addons Copyright © 2025 DragonByte Technologies Ltd.
Log Out Unregistered

Page generated in 0.10463 seconds with 15 queries