HOME-Au
HOME-Au
24h
24h
USA
USA
GOP
GOP
Phim Bộ
Phim Bộ
Videoauto
VIDEO-Au
Home Classic
Home Classic
Donation
Donation
News Book
News Book
News 50
News 50
worldautoscroll
WORLD-Au
Breaking
Breaking
 

Go Back   VietBF > Other News|Tin Khác > School | Kiến thức


Reply
 
Thread Tools
  #1  
Old  Default Viêm gan C tiến triển xơ gan, ung thư
Bà Bình, 69 tuổi, ăn uống kém, mệt, xét nghiệm kết quả viêm gan C mạn tính, xơ gan nặng, ung thư biểu mô tế bào gan.

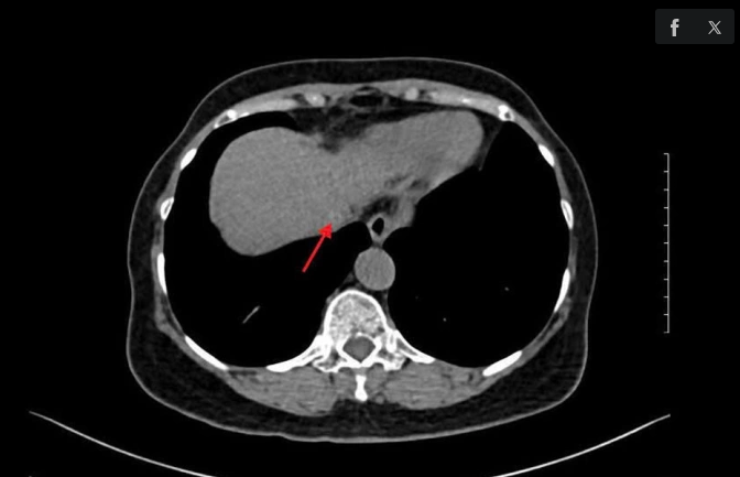
Kết quả xét nghiệm của bà Bình tại Bệnh viện Đa khoa Tâm Anh TP HCM cho thấy nồng độ virus viêm gan C cao (7 triệu virus). Siêu âm đàn hồi mô gan ghi nhận xơ hóa mức độ F4, tức xơ gan do tổn thương tế bào gan âm thầm nhiều năm. Xét nghiệm cho thấy chỉ số AFP (chất chỉ điểm ung thư) là 34.2 IU/ml, cao gấp 6 lần so với bình thường. Trước đó, bà chưa được chẩn đoán mắc bệnh về gan.

ThS.BS.CKII Lê Thanh Quỳnh Ngân, Trưởng khoa Nội tiêu hóa, cho biết chỉ số AFP càng cao, khả năng ung thư gan càng lớn. Để khẳng định, bác sĩ chỉ định chụp CT tầm soát ung thư gan, kết quả cho thấy khối u khoảng 0,5 cm, mức LI-RADS 5 (hệ thống đánh giá các khối u biểu mô gan) chẩn đoán ung thư biểu mô tế bào gan. Viêm gan C mạn tính có nguy cơ cao tiến triển xơ gan và ung thư gan. "Bà Bình là trường hợp điển hình bị viêm gan C không được phát hiện điều trị kịp thời dẫn đến xơ gan, ung thư gan", bác sĩ Ngân nói.


Kết quả chụp MRI ghi nhận bà Bình có u gan. Ảnh: Bệnh viện Đa khoa Tâm Anh

Các bác sĩ hội chẩn, lên kế hoạch đốt u song u ở vị trí khó tiếp cận, không thực hiện được thủ thuật này. Ê kíp thực hiện nút mạch gan (TACE) để ngắt nguồn nuôi dưỡng và tiêu diệt khối u.

Ê kíp tạo đường nhỏ trên cơ thể để tiếp cận động mạch đùi, sau đó luồn ống thông trong lòng động mạch, vào khối u gan, bơm hỗn hợp chất tắc mạch và hóa chất giúp cắt nguồn máu nuôi dưỡng, tiêu diệt khối u. Sau ba lần nút mạch, u không còn hoạt động. Song song đó, bà Bình được điều trị kháng virus.

Kết quả kiểm tra máu sau 6 tháng và 12 tháng, không phát hiện nồng độ virus viêm gan C. Siêu âm đo độ đàn hồi mô gan trở về giai đoạn F3 (giảm mức độ xơ hóa). Người bệnh khỏe hơn, ăn uống được.

Bác sĩ Ngân khuyên người bệnh tái khám định kỳ, theo dõi u tái phát để xử trí kịp thời. Chế độ ăn hàng ngày nên hạn chế nước có gas, chất béo, đồ nướng, xôi nếp, thức ăn nhiều dầu mỡ, lên men (dưa, cà, mắm), chua, cay... Không ăn khuya, tránh nằm ngay sau ăn, kết hợp tập thể dục, nghỉ ngơi hợp lý.

Ước tính Việt Nam có gần một triệu người mắc viêm gan C. Trong đó, chỉ khoảng 60.000 người được chẩn đoán viêm gan C và rất ít người được điều trị. Hiện chưa có vaccine phòng viêm gan C.

Để phòng viêm gan C, bác sĩ Ngân khuyên dùng bao cao su khi quan hệ tình dục, không dùng chung kim tiêm với người khác... Người nhiễm virus viêm gan B, viêm gan C, gan nhiễm mỡ cần kiểm soát và tái khám thường xuyên. Khám sức khỏe định kỳ giúp phát hiện bất thường ở gan, xử trí kịp thời.

VietBF@sưu tập
VIETBF Diễn Đàn Hay Nhất Của Người Việt Nam

HOT NEWS 24h

HOT 3 Days

NEWS 3 Days

HOT 7 Days

NEWS 7 Days

HOME

Breaking News

VietOversea

World News

Business News

Car News

Computer News

Game News

USA News

Mobile News

Music News

Movies News

History

Thơ Ca

Sport News

Stranger Stories

Comedy Stories

Cooking Chat

Nice Pictures

Fashion

School

Travelling

Funny Videos

Canada Tin Hay

USA Tin Hay

10.000 Tin mới nhất

Tin nóng nhất 24h qua

Super News

Tin tức Hoa Kỳ


troopy
R10 Vô Địch Thiên Hạ
Release: 3 Weeks Ago
Reputation: 227093


Profile:
Join Date: Oct 2014
Posts: 88,194
Last Update: None Rating: None
Attached Thumbnails
Click image for larger version

Name:	31.png
Views:	0
Size:	138.7 KB
ID:	2574302  
troopy_is_offline
Thanks: 75
Thanked 6,483 Times in 5,619 Posts
Mentioned: 5 Post(s)
Tagged: 0 Thread(s)
Quoted: 34 Post(s)
Rep Power: 111
troopy Reputation Uy Tín Level 10troopy Reputation Uy Tín Level 10troopy Reputation Uy Tín Level 10troopy Reputation Uy Tín Level 10troopy Reputation Uy Tín Level 10troopy Reputation Uy Tín Level 10
troopy Reputation Uy Tín Level 10troopy Reputation Uy Tín Level 10troopy Reputation Uy Tín Level 10troopy Reputation Uy Tín Level 10troopy Reputation Uy Tín Level 10troopy Reputation Uy Tín Level 10troopy Reputation Uy Tín Level 10troopy Reputation Uy Tín Level 10troopy Reputation Uy Tín Level 10troopy Reputation Uy Tín Level 10troopy Reputation Uy Tín Level 10troopy Reputation Uy Tín Level 10troopy Reputation Uy Tín Level 10troopy Reputation Uy Tín Level 10troopy Reputation Uy Tín Level 10troopy Reputation Uy Tín Level 10troopy Reputation Uy Tín Level 10troopy Reputation Uy Tín Level 10troopy Reputation Uy Tín Level 10troopy Reputation Uy Tín Level 10troopy Reputation Uy Tín Level 10troopy Reputation Uy Tín Level 10
Reply

User Tag List



 
Lên đầu Xuống dưới Lên 3000px Xuống 3000px

VietBF Homepage Autoscroll

VietBF Video Autoscroll Portal

USA News Autoscroll Portall

VietBF WORLD Autoscroll Portal

Home Classic

Super Widescreen

Tin nóng nhất 24h qua

Tin nóng nhất 3 ngày qua

Tin nóng nhất 7 ngày qua

Tin nóng nhất 30 ngày qua

Albums

Total Videos Online
Lên đầu Xuống dưới Lên 3000px Xuống 3000px

Tranh luận sôi nổi nhất 7 ngày qua

Tranh luận sôi nổi nhất 14 ngày qua

Tranh luận sôi nổi nhất 30 ngày qua

10.000 Tin mới nhất

Tin tức Hoa Kỳ

Tin tức Công nghệ
Lên đầu Xuống dưới Lên 3000px Xuống 3000px

Super News

School Cooking Traveling Portal

Enter Portal

Series Shows and Movies Online

Home Classic Master Page

Donation Ủng hộ $3 cho VietBF
Lên đầu Xuống dưới Lên 3000px Xuống 3000px
Diễn Đàn Người Việt Hải Ngoại. Tự do ngôn luận, an toàn và uy tín. Vì một tương lai tươi đẹp cho các thế hệ Việt Nam hãy ghé thăm chúng tôi, hãy tâm sự với chúng tôi mỗi ngày, mỗi giờ và mỗi giây phút có thể. VietBF.Com Xin cám ơn các bạn, chúc tất cả các bạn vui vẻ và gặp nhiều may mắn.
Welcome to Vietnamese American Community, Vietnamese European, Canadian, Australian Forum, Vietnamese Overseas Forum. Freedom of speech, safety and prestige. For a beautiful future for Vietnamese generations, please visit us, talk to us every day, every hour and every moment possible. VietBF.Com Thank you all and good luck.

Lên đầu Xuống dưới Lên 3000px Xuống 3000px

All times are GMT. The time now is 23:10.
VietBF - Vietnamese Best Forum Copyright ©2005 - 2025
User Alert System provided by Advanced User Tagging (Pro) - vBulletin Mods & Addons Copyright © 2025 DragonByte Technologies Ltd.
Log Out Unregistered

Page generated in 0.14640 seconds with 15 queries