HOME-Au
HOME-Au
24h
24h
USA
USA
GOP
GOP
Phim Bộ
Phim Bộ
Videoauto
VIDEO-Au
Home Classic
Home Classic
Donation
Donation
News Book
News Book
News 50
News 50
worldautoscroll
WORLD-Au
Breaking
Breaking
 

Go Back   VietBF > World Box| Thế Giới > Vietnam News | Tin Việt Nam


Reply
 
Thread Tools
  #1  
Old  Default Mắc bệnh lupus ban đỏ, bé gái bất ngờ ho ra máu, suy tuần hoàn
Vừa xuất viện sau khi điều trị bệnh lupus ban đỏ, bệnh nhi bất ngờ ho ra máu, khó thở, kiệt sức, sốt cao, nhập viện trong tình trạng suy tuần hoàn.

Tin từ Bệnh viện Bạch Mai cho biết, các bác sĩ của bệnh viện vừa có một "cuộc chiến" nghẹt thở cứu sống 1 bé gái rơi vào tình trạng "cửu tử nhất sinh" do bệnh hiếm gặp.

Đó là trường hợp một bệnh nhi nữ 14 tuổi vừa được chẩn đoán mắc Lupus ban đỏ hệ thống (SLE), đã điều trị tại một bệnh viện tuyến trung ương khác và được xuất viện.

Sau khi ra viện 3 ngày, trẻ bắt đầu ho máu đỏ tươi liên tục kèm ít đờm và sốt 37,5 - 38 độ C. Sau vài tiếng, trẻ khó thở và rất mệt, được người nhà đưa vào cấp cứu tại Trung tâm Nhi khoa, Bệnh viện Bạch Mai trong tình trạng suy hô hấp (SpO2 80%), suy tuần hoàn (chi lạnh, mạch 150 chu kì/phút, huyết áp 90/60 mmHg) và thiếu máu nặng (hemoglobin lúc vào viện: 40 g/L).


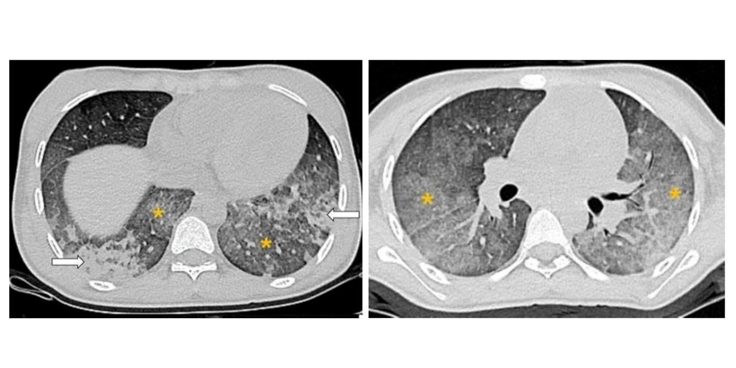
Hình ảnh chụp cắt lớp vi tính lồng ngực cho thấy hình ảnh các tổn thương gợi ý chảy máu phế nang lan tỏa. Ảnh BVCC
Bác sĩ Phạm Công Khắc, một trong những bác sĩ tham gia trực tiếp hồi sức cho bệnh nhi, cho biết: "Cháu bé được đưa vào Trung tâm Nhi khoa trong tình trạng ho máu nguy kịch, suy hô hấp, suy tuần hoàn và thiếu máu nặng.

Chúng tôi nghĩ đến biến chứng chảy máu phế nang lan tỏa (DAH) ở bệnh nhân SLE. Đây là một biểu hiện hiếm gặp, chỉ khoảng 2% số ca SLE ở trẻ em. Khi xảy ra, DAH thường diễn tiến rất nhanh gây suy hô hấp cấp, thiếu máu nặng và có thể tử vong nếu không được điều trị kịp thời.

Tuy nhiên, tình trạng suy hô hấp và huyết động không ổn định của trẻ khiến nhóm bác sĩ không thể chờ đợi nội soi phế quản để chẩn đoán DAH. Áp lực vô cùng lớn”.

Bác sĩ Mai Thành Công - một trong những bác sĩ quản lý nhóm bệnh nhân tự miễn của Trung tâm Nhi khoa chia sẻ thêm: "Nếu điều trị DAH do SLE quá muộn, trẻ có thể tử vong nhanh chóng. Nhưng nếu là chảy máu phổi do nhiễm trùng, việc sử dụng thuốc ức chế miễn dịch liều cao có thể khiến tình trạng nhiễm trùng của cháu bé thêm trầm trọng”.

Với sự phối hợp khẩn cấp giữa nhóm bác sĩ Hồi sức và Miễn dịch của Trung tâm Nhi khoa, chẩn đoán nhanh chóng được đưa ra dựa trên những dấu hiệu lâm sàng và cận lâm sàng.

Phác đồ methylprednisolone liều cao kết hợp cyclophosphamide tĩnh mạch được lựa chọn. Đây là lựa chọn kinh điển cho các trường hợp lupus hoạt động mạnh có tổn thương cơ quan đe dọa tính mạng như DAH, tổn thương thần kinh trung ương hay viêm thận nặng.

Việc đưa ra quyết định này đòi hỏi sự cân nhắc kỹ lưỡng về nguy cơ và lợi ích, đặc biệt ở một bệnh nhi 14 tuổi. Nguy cơ bao gồm ức chế tủy xương, nhiễm trùng, độc tính trên cơ quan sinh sản. Tuy nhiên, lợi ích lớn nhất chính là cứu sống bệnh nhân trong giai đoạn cấp và kiểm soát hoạt động bệnh của lupus.

Sau 5 ngày điều trị tích cực, cháu bé đã hết khó thở và hết ho ra máu, không cần hỗ trợ bằng máy thở, đặc biệt là cháu cắt sốt sau khi điều trị thuốc ức chế miễn dịch.


Nhờ nhận định bệnh chính xác, cấp cứu kịp thời, bệnh nhân đã qua cơn nguy hiểm (Bệnh nhi đang được hỗ trợ hô hấp bằng máy thở không xâm nhập. Ảnh BVCC)
Theo bác sĩ Công, ca bệnh được điều trị thành công là nhờ các bác sĩ đã nhận diện sớm một biến chứng cực kì hiếm gặp nhưng đe dọa tính mạng (chảy máu phế nang lan tỏa trong bệnh lupus ban đỏ hệ thống), ngay cả khi chưa thể nội soi phế quản;

Đồng thời phân biệt được chảy máu phế nang lan tỏa với chảy máu phổi do nhiễm trùng ở một bệnh nhân đang sử dụng các thuốc ức chế miễn dịch - một bước vô cùng quan trọng trong điều trị vì hướng xử trí hoàn toàn khác nhau.

"Thành công trong điều trị bệnh nhân là sự kết hợp của việc chẩn đoán chính xác - xử trí kịp thời - điều trị hiệu quả mặc dù đây là một biến chứng nguy hiểm của lupus ban đỏ hệ thống", bác sĩ Công nhận định.

TS, bác sĩ Nguyễn Thành Nam - Giám đốc Trung tâm Nhi khoa, Bệnh viện Bạch Mai cho biết, đây là một ví dụ điển hình cho thấy sự phức tạp và mức độ nguy hiểm của lupus ban đỏ hệ thống ở trẻ em, đặc biệt là biến chứng chảy máu phế nang lan tỏa (DAH) - một biến chứng cực kỳ hiếm gặp và có tỷ lệ tử vong cao tới 50%.

VietBF@ sưu tập
VIETBF Diễn Đàn Hay Nhất Của Người Việt Nam

HOT NEWS 24h

HOT 3 Days

NEWS 3 Days

HOT 7 Days

NEWS 7 Days

HOME

Breaking News

VietOversea

World News

Business News

Car News

Computer News

Game News

USA News

Mobile News

Music News

Movies News

History

Thơ Ca

Sport News

Stranger Stories

Comedy Stories

Cooking Chat

Nice Pictures

Fashion

School

Travelling

Funny Videos

Canada Tin Hay

USA Tin Hay

VietBF Homepage Autoscroll

VietBF Video Autoscroll Portal

Home Classic

Home Classic Master Page



pizza
R11 Tuyệt Thế Thiên Hạ
Release: 07-07-2025
Reputation: 237144


Profile:
Join Date: Sep 2014
Posts: 106,606
Last Update: None Rating: None
Attached Thumbnails
Click image for larger version

Name:	492.jpg
Views:	0
Size:	292.7 KB
ID:	2546574   Click image for larger version

Name:	491.jpg
Views:	0
Size:	134.1 KB
ID:	2546575  
pizza_is_offline
Thanks: 7
Thanked 8,101 Times in 7,211 Posts
Mentioned: 6 Post(s)
Tagged: 0 Thread(s)
Quoted: 41 Post(s)
Rep Power: 129
pizza Reputation Uy Tín Level 10pizza Reputation Uy Tín Level 10pizza Reputation Uy Tín Level 10pizza Reputation Uy Tín Level 10pizza Reputation Uy Tín Level 10pizza Reputation Uy Tín Level 10pizza Reputation Uy Tín Level 10
pizza Reputation Uy Tín Level 10pizza Reputation Uy Tín Level 10pizza Reputation Uy Tín Level 10pizza Reputation Uy Tín Level 10pizza Reputation Uy Tín Level 10pizza Reputation Uy Tín Level 10pizza Reputation Uy Tín Level 10pizza Reputation Uy Tín Level 10pizza Reputation Uy Tín Level 10pizza Reputation Uy Tín Level 10pizza Reputation Uy Tín Level 10pizza Reputation Uy Tín Level 10pizza Reputation Uy Tín Level 10pizza Reputation Uy Tín Level 10pizza Reputation Uy Tín Level 10pizza Reputation Uy Tín Level 10pizza Reputation Uy Tín Level 10pizza Reputation Uy Tín Level 10pizza Reputation Uy Tín Level 10pizza Reputation Uy Tín Level 10pizza Reputation Uy Tín Level 10pizza Reputation Uy Tín Level 10
Reply

User Tag List

Thread Tools

Bi kịch quán bún ốc Trần Hưng Đạo: 3 mẹ con chết ngạt sau cửa cuốn khóa kín ‘America Alone’ – Khi Trump vẽ lại trật tự thế giới theo cách của mình Cuộc chơi liều lĩnh của Trump với Tu chính án 14 và quyền có quốc tịch khi chào đời
LeBron James: Chấp nhận đánh mất kỷ lục 1.297 trận chỉ để làm một đường chuyền đúng Ciel Tower – khách sạn cao nhất thế giới Chiếc nhẫn cưới ‘mất tích’ và nghi ngờ Phó Tổng Thống Mỹ bỏ cô vợ Ấn Độ
Karoline Leavitt: Từ ‘thánh cô nói láo’ đến biểu tượng của Trump 2.0 Bong bóng AI, khí hậu nổi giận và năm 2026 Khi Vingroup phải vay trái phiếu lãi 12%: Phao cứu sinh hay bước đi liều mạng?
Từ Geneva đến Kyiv: Kế hoạch 28 điểm của Trump và thế lưỡng nan của Ukraine Nước Nga trên ván bài cuối: biết không thể thắng nhưng vẫn lao vào cuộc chiến đến cùng Tiền thuế đã đi đâu, khi dân miền Trung đói rét trên nóc nhà chờ chết?
Nellie Bly – 72 ngày vòng quanh thế giới và cú đòn vào mọi định kiến về phụ nữ “Góa phụ đen” ở nước Nga: khi cái chết của người lính trở thành một mô hình kinh doanh Lá thư cuối của Kurt Vonnegut: hãy sáng tạo chỉ để tâm hồn mình lớn lên
Trung Quốc vỡ trận công nghiệp: khi “Made in China” bước vào thập niên suy thoái mới Bốn ngày trên nóc nhà: khi người dân miền Trung thực sự bị bỏ rơi giữa lũ dữ Không một lời cảnh báo: Miền Trung chết chìm trong lũ thủy điện “đúng quy trình”
Biệt kích Chung Tử Ngọc – Từ ngọn đồi lửa đạn đến sáu năm lao tù cộng sản Một mạng người đáng giá bao nhiêu – từ vụ tai nạn ở California đến những xác người trong lũ Việt Nam Mercury – đoàn tàu Art Deco biến tốc độ thành cái đẹp hữu hình
Hoa Kỳ-Ukraine đạt sự đồng thuận cho kế hoạch hòa bình với 19 điểm mới Tấm chăn thơ rách nát giữa địa ngục cộng sản – từ hố xí tập thể đến bến bờ tị nạn Morgan Geyser trốn khỏi giám sát: Bóng ma Slender Man trở lại sau vụ đâm bạn 19 nhát chấn động nước Mỹ
New Delhi ngạt thở: Khi Pháo đài Đỏ hóa đen và người dân chỉ còn ước được… hít thở Red Bull – từ lon nước vàng ở Bangkok đến đế chế nội dung làm thay đổi thế giới Kế hoạch 28 điểm của Trump: Hoà bình cho Ukraine hay bản hợp đồng nhượng bộ cho Nga?

 
Lên đầu Xuống dưới Lên 3000px Xuống 3000px

iPad Videos Portal Autoscroll

VietBF Music Portal Autoscroll

iPad News Portal Autoscroll

VietBF Homepage Autoscroll

VietBF Video Autoscroll Portal

USA News Autoscroll Portall

VietBF WORLD Autoscroll Portal

Home Classic

Super Widescreen

iPad World Portal Autoscroll

iPad USA Portal Autoscroll

Phim Bộ Online

Tin nóng nhất 24h qua

Tin nóng nhất 3 ngày qua

Tin nóng nhất 7 ngày qua

Tin nóng nhất 30 ngày qua

Albums

Total Videos Online
Lên đầu Xuống dưới Lên 3000px Xuống 3000px

Tranh luận sôi nổi nhất 7 ngày qua

Tranh luận sôi nổi nhất 14 ngày qua

Tranh luận sôi nổi nhất 30 ngày qua

10.000 Tin mới nhất

Tin tức Hoa Kỳ

Tin tức Công nghệ
Lên đầu Xuống dưới Lên 3000px Xuống 3000px

Super News

School Cooking Traveling Portal

Enter Portal

Series Shows and Movies Online

Home Classic Master Page

Donation Ủng hộ $3 cho VietBF
Lên đầu Xuống dưới Lên 3000px Xuống 3000px
Diễn Đàn Người Việt Hải Ngoại. Tự do ngôn luận, an toàn và uy tín. Vì một tương lai tươi đẹp cho các thế hệ Việt Nam hãy ghé thăm chúng tôi, hãy tâm sự với chúng tôi mỗi ngày, mỗi giờ và mỗi giây phút có thể. VietBF.Com Xin cám ơn các bạn, chúc tất cả các bạn vui vẻ và gặp nhiều may mắn.
Welcome to Vietnamese American Community, Vietnamese European, Canadian, Australian Forum, Vietnamese Overseas Forum. Freedom of speech, safety and prestige. For a beautiful future for Vietnamese generations, please visit us, talk to us every day, every hour and every moment possible. VietBF.Com Thank you all and good luck.

Lên đầu Xuống dưới Lên 3000px Xuống 3000px

All times are GMT. The time now is 19:19.
VietBF - Vietnamese Best Forum Copyright ©2005 - 2025
User Alert System provided by Advanced User Tagging (Pro) - vBulletin Mods & Addons Copyright © 2025 DragonByte Technologies Ltd.
Log Out Unregistered

Page generated in 0.11048 seconds with 15 queries