View Single Post
  #1  
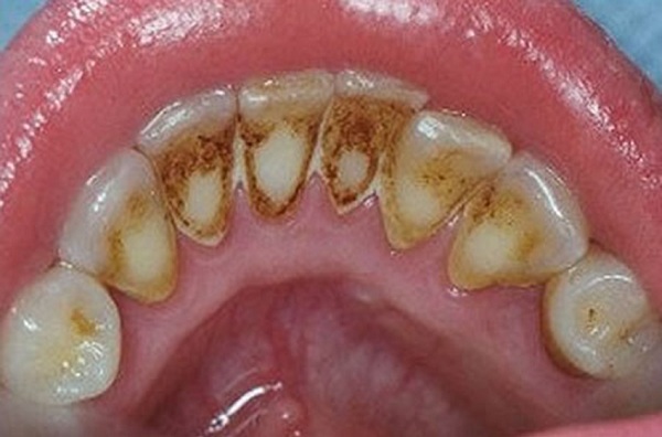
Old  Default Loại bỏ hoàn toàn mảng bám và vết ố đen trên răng ngay tại nhà với các nguyên liệu từ thiên nhiên
Chúng ta đều biết rằng khi nói đến việc loại bỏ mảng bám, vết ố đen, các nha sĩ sẽ thực hiện công việc này một cách hoàn hảo. Tuy nhiên, có rất nhiều công thức tự nhiên có thể giúp bạn thoát khỏi các mảng bám cứng đầu này ngay ở nhà.



Công thức 1:
Thành phần cần thiết:
30g vỏ quả óc chó
Nước
Phương pháp chuẩn bị:
Đặt vỏ quả óc chó trong một cái bát, thêm nước và đặt hỗn hợp trên lửa. Đun trong 15 phút.
Ngâm bàn chải đánh răng của bạn trong hỗn hợp kết quả và đánh răng của bạn trong 5 phút.
Lặp lại phương pháp này vào buổi sáng, buổi chiều và buổi tối.
Công thức 2:
Thành phần cần thiết:
4 muỗng canh hạt hướng dương
4 muỗng canh hoa cây bồ đề
1 lít nước
Phương pháp chuẩn bị:
Cho nguyên liệu vào một cái bát, bao gồm chúng với nước và đặt bát bạn đang sử dụng trên lửa thấp. Đun hỗn hợp trong nửa giờ.
Đánh răng bằng hỗn hợp kết quả sau mỗi bữa ăn.
Công thức 3:
Giấm táo cũng có thể được sử dụng để loại bỏ mảng bám, nhưng chỉ một lần một tuần. Ngâm bàn chải đánh răng của bạn trong giấm táo và đánh răng của bạn. Rửa sạch khoang miệng bằng nước để không làm hỏng men răng của bạn.


pizza@VietBF © sưu tầm
VIETBF Diễn Đàn Hay Nhất Của Người Việt Nam

HOT NEWS 24h

HOT 3 Days

NEWS 3 Days

HOT 7 Days

NEWS 7 Days

HOME

Breaking News

VietOversea

World News

Business News

Car News

Computer News

Game News

USA News

Mobile News

Music News

Movies News

History

Thơ Ca

Sport News

Stranger Stories

Comedy Stories

Cooking Chat

Nice Pictures

Fashion

School

Travelling

Funny Videos

Canada Tin Hay

USA Tin Hay

VietBF Homepage Autoscroll

VietBF Video Autoscroll Portal

Home Classic

Home Classic Master Page

VietBF iPad Music Portal

Tin nóng nhất 50h qua

Phim Bộ Online

Phim Bộ



pizza
R11 Tuyệt Thế Thiên Hạ
Release: 02-27-2015
Reputation: 237162


Profile:
Join Date: Sep 2014
Posts: 107,330
Last Update: None Rating: None
Attached Thumbnails
Click image for larger version

Name:	how-to-remove-plaque-without-going-to-the-dentist.jpg
Views:	0
Size:	70.0 KB
ID:	745421  
pizza_is_offline
Thanks: 7
Thanked 8,110 Times in 7,220 Posts
Mentioned: 6 Post(s)
Tagged: 0 Thread(s)
Quoted: 41 Post(s)
Rep Power: 130
pizza Reputation Uy Tín Level 10pizza Reputation Uy Tín Level 10pizza Reputation Uy Tín Level 10pizza Reputation Uy Tín Level 10pizza Reputation Uy Tín Level 10pizza Reputation Uy Tín Level 10pizza Reputation Uy Tín Level 10
pizza Reputation Uy Tín Level 10pizza Reputation Uy Tín Level 10pizza Reputation Uy Tín Level 10pizza Reputation Uy Tín Level 10pizza Reputation Uy Tín Level 10pizza Reputation Uy Tín Level 10pizza Reputation Uy Tín Level 10pizza Reputation Uy Tín Level 10pizza Reputation Uy Tín Level 10pizza Reputation Uy Tín Level 10pizza Reputation Uy Tín Level 10pizza Reputation Uy Tín Level 10pizza Reputation Uy Tín Level 10pizza Reputation Uy Tín Level 10pizza Reputation Uy Tín Level 10pizza Reputation Uy Tín Level 10pizza Reputation Uy Tín Level 10pizza Reputation Uy Tín Level 10pizza Reputation Uy Tín Level 10pizza Reputation Uy Tín Level 10pizza Reputation Uy Tín Level 10pizza Reputation Uy Tín Level 10
Quay về trang chủ Lên đầu Xuống dưới Lên 3000px Xuống 3000px
 
Page generated in 0.11520 seconds with 11 queries