View Single Post
  #1  
Old  Default Nam thanh niên sau khi uống 1,5l Coca trong 10 phút
Một nam thanh niên đã uống hết chai Coca 1,5l để giải khát trong 10 phút vì thời tiết quá nóng bức. 6 tiếng sau, anh có biểu hiện căng tức, đau bụng dữ dội nên đến Bệnh viện Chaoyang ở Bắc Kinh thăm khám.

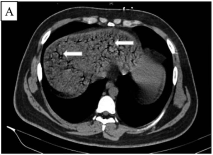
Sau khi kiểm tra, các bác sĩ phát hiện bệnh nhân - người không có bệnh lý nền - bị tăng nhịp tim, huyết áp thấp và thở gấp. Kết quả chụp CT cho thấy nam thanh niên có nồng độ cồn trong thành ruột và tĩnh mạch cửa (bộ phận cung cấp máu đến gan). Chính những điều này đã khiến bệnh nhân bị thiếu máu cục bộ ở gan, còn gọi là "sốc ở gan" - hiện tượng gây ra bởi tình trạng thiếu oxy đến bộ phận này.



Nhân viên y tế đã cố gắng cứu bệnh nhân bằng cách giải phóng hết phần khí ra khỏi hệ tiêu hóa của anh ta, đồng thời, dùng thuốc để bảo vệ phần gan và các bộ phận khác trên cơ thể khỏi bị tổn thương thêm. Bất chấp các nỗ lực của y bác sĩ, tình trạng của nam thanh niên ngày càng tệ hơn. Anh qua đời sau 18 tiếng điều trị tích cực.

Tuy nhiên, một số chuyên gia y khoa tin rằng, việc nam thanh niên tử vong do uống Coca quá liều là điều khó xảy ra.

"Khả năng tử vong sau khi uống 1,5 lít Coca đối với một người thường xuyên uống nước ngọt có ga là điều rất khó gặp", giáo sư Nathan Davies, một nhà hóa sinh tại Đại học London, nói với Mail. Theo ông Davies, cái chết của chàng trai có thể là do bị nhiễm khuẩn. Những con vi khuẩn này đã hình thành một túi khí ở thành ruột trước khi chui vào các bộ phận khác trên cơ thể, chẳng hạn như động mạch cửa.

Vị giáo sư cũng nói thêm tuy nước uống có ga có thể góp phần gây ra hậu quả đáng tiếc, nhưng nó chưa chắc là tác nhân chính trong cái chết của bệnh nhân.

"Có thể, nhưng không nhất thiết, việc uống một lượng lớn đồ uống có ga gây ra tác động trầm trọng như thế. Nhưng do bệnh nhân không có bệnh nền nào, rất khó để xác định lý do thực sự", ông Davies nói, cho biết ông cần thêm thông tin trước khi rút ra kết luận về nguyên nhân khiến bệnh nhân tử vong.

Trên thực tế, các chuyên gia đều đồng tình những vấn đề về sức khỏe liên quan tới việc uống đồ uống có ga thường nhỏ và có ảnh hưởng nếu sử dụng trong thời gian dài.

Tuy nhiên, Nghiên cứu Tim mạch Framingham của Mỹ phát hiện thấy việc tiêu thụ chỉ một lon nước uống có ga mỗi ngày có liên quan đến vô số vấn đề về sức khỏe, bao gồm béo phì, nguy cơ cao tiểu đường tuyp 2, đau tim, đột quỵ, trí nhớ kém, khối lượng não nhỏ đi và thậm chí là sa sút trí tuệ.

Năm ngoái, các chuyên gia y tế kết luận một phụ nữ New Zealand có thói quen uống hơn 7l Coca một ngày có thể qua đời do những biến chứng liên quan tới việc tiêu thụ quá nhiều caffein.
VIETBF Diễn Đàn Hay Nhất Của Người Việt Nam

HOT NEWS 24h

HOT 3 Days

NEWS 3 Days

HOT 7 Days

NEWS 7 Days

HOME

Breaking News

VietOversea

World News

Business News

Car News

Computer News

Game News

USA News

Mobile News

Music News

Movies News

History

Thơ Ca

Sport News

Stranger Stories

Comedy Stories

Cooking Chat

Nice Pictures

Fashion

School

Travelling

Funny Videos

Canada Tin Hay

USA Tin Hay

VietBF Homepage Autoscroll

VietBF Video Autoscroll Portal

Home Classic

Home Classic Master Page



nguoiduatinabc
R10 Vô Địch Thiên Hạ
Release: 09-27-2021
Reputation: 22130


Profile:
Join Date: Apr 2016
Posts: 81,641
Last Update: None Rating: None
Attached Thumbnails
Click image for larger version

Name:	coca1-1114-1632618188.jpg
Views:	0
Size:	59.1 KB
ID:	1879426  
nguoiduatinabc_is_offline
Thanks: 168
Thanked 5,400 Times in 4,375 Posts
Mentioned: 4 Post(s)
Tagged: 0 Thread(s)
Quoted: 29 Post(s)
Rep Power: 92
nguoiduatinabc Reputation Uy Tín Level 7nguoiduatinabc Reputation Uy Tín Level 7
nguoiduatinabc Reputation Uy Tín Level 7nguoiduatinabc Reputation Uy Tín Level 7nguoiduatinabc Reputation Uy Tín Level 7nguoiduatinabc Reputation Uy Tín Level 7nguoiduatinabc Reputation Uy Tín Level 7nguoiduatinabc Reputation Uy Tín Level 7nguoiduatinabc Reputation Uy Tín Level 7nguoiduatinabc Reputation Uy Tín Level 7nguoiduatinabc Reputation Uy Tín Level 7nguoiduatinabc Reputation Uy Tín Level 7nguoiduatinabc Reputation Uy Tín Level 7nguoiduatinabc Reputation Uy Tín Level 7nguoiduatinabc Reputation Uy Tín Level 7
Quay về trang chủ Lên đầu Xuống dưới Lên 3000px Xuống 3000px
 
Page generated in 0.11916 seconds with 11 queries