View Single Post
  #1  
Old  Default Ông Việt kiều tử vong sau cú hắt xì vì kiên quyết làm 1 điều
Nam bệnh nhân là Việt kiều Úc bất ngờ rơi vào hôn mê sau khi hắt xì. Dù được bác sĩ hết lòng điều trị nhưng bệnh nhân đã không thể qua khỏi.

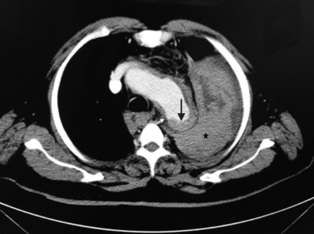
Bác sĩ Nguyễn Minh Đức – Giảng viên Trường Đại học Y Phạm Ngọc Thạch (TPHCM), trước đó, bệnh nhân đến bệnh viện khám do có các triệu chứng của rối loạn tiêu hóa. Tuy nhiên, trong quá trình khám bệnh, bác sĩ đã phát hiện bệnh nhân bị phình động mạch chủ ngực, kích thước lên tới 50mm.

Bác sĩ tư vấn bệnh nhân can thiệp điều trị đặt stent graft ngay vì có nguy cơ vỡ túi phình động mạch chủ ngực nhưng bệnh nhân mong muốn là quay trở lại Úc điều trị. Dù được bác sĩ giải thích về những nguy cơ có thể xảy ra vỡ túi phình, thậm chí có thể nguy kịch tới tính mạng nhưng bệnh nhân vẫn nhất quyết từ chối điều trị và đặt vé máy bay về Úc.

Tuy nhiên, chưa kịp bay thì ngay hôm sau, bệnh nhân đã phải nhập viện cấp cứu trong tình trạng hôn mê. Theo người nhà, người bệnh đã bất tỉnh sau một cú hắt xì. Qua kết quả chụp CT, bác sĩ xác định bệnh nhân bị vỡ túi phình, khiến người bệnh sốc và tử vong ngay sau đó.


Bác sĩ Đức cho biết, trường hợp như bệnh nhân Việt kiều trên không phải hiếm gặp. Trước đó, bác sĩ đã từng chứng kiến một đồng nghiệp tử vong sau cú hắt hơi. Người bệnh là một bác sĩ ngành chấn thương chỉnh hình ở TPHCM. Vị bác sĩ này khám và phát hiện phình động mạch ngực, túi phình 45mm nhưng chưa muốn điều trị.

Sau đó vị bác sĩ này khi bị cảm cúm, bệnh nhân hắt xì và gặp biến chứng vỡ phình động mạch chủ ngực rồi tử vong ở tuổi 60.

Theo bác sĩ Đức, động mạch chủ là mạch máu lớn nhất trong cơ thể, xuất phát từ tim và đưa máu giàu oxy đến các cơ quan khác như ngực, bụng, tứ chi... Phình động mạch chủ ngực là tình trạng một đoạn động mạch chủ chạy qua ngực bị tổn thương, dần suy yếu, phình to ra.

Khi hắt hơi, người bệnh sẽ lấy hơi bụng đẩy lên, gây áp lực lên động mạch chủ ngực. Động mạch đang phình căng như bóng bay khi bị tác dụng lực sẽ rất dễ vỡ, dẫn đến chảy máu ồ ạt vào tim, phổi gây sốc và người bệnh có nguy cơ tử vong rất cao.

Biến chứng nguy hiểm của phình động mạch

Bác sĩ Nguyễn Minh Đức cho biết phình động mạch rất nguy hiểm nếu không được can thiệp và xử lý kịp thời. Người bệnh có thể gặp những biến chứng như: Vỡ mạch tại vị trí phình, có thể gây tử vong; Tắc động mạch ngoại vi cấp tính; Phình động mạch chủ dọa vỡ; Tách thành động mạch chủ; Viêm quanh túi phình.

Theo bác sĩ Đức, phình động mạch chủ có nguy có xảy ra ở những bệnh nhân tăng huyết áp, đái tháo đường, rối loạn mỡ máu. Để phát hiện phình động mạch chủ bác sĩ sẽ chỉ định chụp mạch, siêu âm. Để phòng bệnh, người dân có thể xây dựng chế độ ăn uống tốt cho sức khỏe tim mạch, không tiếp xúc với thuốc lá, hạn chế uống rượu, ngủ đủ giấc, tránh stress - thức khuya và tập luyện thường xuyên.
VIETBF Diễn Đàn Hay Nhất Của Người Việt Nam

HOT NEWS 24h

HOT 3 Days

NEWS 3 Days

HOT 7 Days

NEWS 7 Days

HOME

Breaking News

VietOversea

World News

Business News

Car News

Computer News

Game News

USA News

Mobile News

Music News

Movies News

History

Thơ Ca

Sport News

Stranger Stories

Comedy Stories

Cooking Chat

Nice Pictures

Fashion

School

Travelling

Funny Videos

Canada Tin Hay

USA Tin Hay

VietBF Homepage Autoscroll

VietBF Video Autoscroll Portal

Home Classic

Home Classic Master Page



nguoiduatinabc
R10 Vô Địch Thiên Hạ
Release: 04-02-2025
Reputation: 22126


Profile:
Join Date: Apr 2016
Posts: 81,508
Last Update: None Rating: None
Attached Thumbnails
Click image for larger version

Name:	4.PNG
Views:	0
Size:	243.5 KB
ID:	2509335  
nguoiduatinabc_is_offline
Thanks: 168
Thanked 5,398 Times in 4,373 Posts
Mentioned: 4 Post(s)
Tagged: 0 Thread(s)
Quoted: 29 Post(s)
Rep Power: 92
nguoiduatinabc Reputation Uy Tín Level 7nguoiduatinabc Reputation Uy Tín Level 7
nguoiduatinabc Reputation Uy Tín Level 7nguoiduatinabc Reputation Uy Tín Level 7nguoiduatinabc Reputation Uy Tín Level 7nguoiduatinabc Reputation Uy Tín Level 7nguoiduatinabc Reputation Uy Tín Level 7nguoiduatinabc Reputation Uy Tín Level 7nguoiduatinabc Reputation Uy Tín Level 7nguoiduatinabc Reputation Uy Tín Level 7nguoiduatinabc Reputation Uy Tín Level 7nguoiduatinabc Reputation Uy Tín Level 7nguoiduatinabc Reputation Uy Tín Level 7nguoiduatinabc Reputation Uy Tín Level 7nguoiduatinabc Reputation Uy Tín Level 7
Quay về trang chủ Lên đầu Xuống dưới Lên 3000px Xuống 3000px
 
Page generated in 0.11412 seconds with 11 queries