HOME-Au
HOME-Au
24h
24h
USA
USA
GOP
GOP
Phim Bộ
Phim Bộ
Videoauto
VIDEO-Au
Home Classic
Home Classic
Donation
Donation
News Book
News Book
News 50
News 50
worldautoscroll
WORLD-Au
Breaking
Breaking
 

Go Back   VietBF > Other News|Tin Khác > School | Kiến thức > School | Kiến thức 2006-2019


 
 
Thread Tools
  #1  
Old  Default Cứ hỏi vì sao người Việt càng già răng lợi càng chẳng ra gì
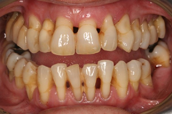
Người Việt có thói quen ngàn đời dùng tăm để xỉa răng. Vì thế đa số người Việt về già thường móm mém và mắc rất nhiều bệnh về răng lợi. Vì thế, từ giờ trở đi bạn đừng dùng tăm để xỉa răng nữa nha!



Xỉa răng bằng tăm sau khi ăn là thói quen của rất nhiều người Việt. Tưởng chừng việc này chỉ giúp loại bỏ những mẩu thức ăn thừa nhưng không ngờ lại tạo điều kiện cho vi khuẩn phát triển đồng thời chính là nguyên nhân sâu xa dẫn tới những căn bệnh liên quan đến răng miệng nghiêm trọng.

1. Viêm nướu, chảy máu chân răng

Dùng tăm xỉa răng để lại rất nhiều những hậu quả trong đó có làm ảnh hưởng tới viêm nướu. Sử dụng các loại tăm cỡ lớn khi chọc vào hàng lợi mềm nếu không cẩn thận sẽ gây rách lợi, chảy máu. Lúc đó vi khuẩn trong khoang miệng sẽ qua vết thương hở xâm nhập vào lợi gây viêm tấy.



2. Tụt lợi, vỡ men răng

Thói quen xỉa răng thường xuyên sẽ làm tổn thương lợi như đã nói ở trên đồng thời làm tụt lợi gây viêm chân răng. Bên cạnh đó, việc xỉa răng còn làm kẽ răng ngày càng rộng tạo điều kiện trở thành nơi “cư trú” của các mảng bám. Lâu dần vi khuẩn kết hợp thức ăn thừa, mảng bám nơi kẽ răng gây sâu răng và ảnh hưởng tới toàn bộ men răng.

3. Hỏng xương răng

Việc vi khuẩn thường xuyên tấn công răng do lợi, men răng bị tổn thương lâu ngày sẽ khiến xương răng ngày càng tiêu lại và nhỏ dần. Không dừng lại ở đó, các kẽ răng do việc xỉa răng để lại gây mất thẩm mỹ, khe răng rộng và thừa. Các chỗ hở tạo điều kiện cho thức ăn giắt vào làm ảnh hưởng việc vệ sinh răng miệng.

4. Viêm lợi

Khi thức ăn bám chặt lên thân răng kết hợp với các khoáng chất có trong nước bọt tạo thành các mảng vôi cứng gọi là cao răng. Lúc này, cao răng sẽ tác động lên men răng cộng thêm sự xâm nhập của vi khuẩn gây viêm lợi khiến bạn luôn cảm thấy đau nhức kéo dài khó chịu.

5. Nguy cơ mắc bệnh nguy hiểm

Các bệnh về răng tưởng chừng đơn giản nhưng thực ra lại là nguyên nhân khiến bạn mắc phải những căn bệnh nguy hiểm về huyết áp, tim mạch… Các bệnh về nướu sẽ phát sinh ảnh hưởng tới hệ tuần hoàn và việc lưu thông máu truyền lên não.

Chú ý nhỏ:

Thay vì dùng tăm cứng để xỉa răng sau khi ăn bạn có thể sử dụng chỉ nha khoa để làm sạch các kẽ răng. Chỉ nha khoa có dạng sợi mềm nên không gây tổn thương cho răng miệng. Ngoài ra súc miệng cũng là cách loại bỏ những mảng thức ăn thừa mà không cần dùng tới tăm.

Therealtz © VietBF
VIETBF Diễn Đàn Hay Nhất Của Người Việt Nam

HOT NEWS 24h

HOT 3 Days

NEWS 3 Days

HOT 7 Days

NEWS 7 Days

HOME

Breaking News

VietOversea

World News

Business News

Car News

Computer News

Game News

USA News

Mobile News

Music News

Movies News

History

Thơ Ca

Sport News

Stranger Stories

Comedy Stories

Cooking Chat

Nice Pictures

Fashion

School

Travelling

Funny Videos

Canada Tin Hay

USA Tin Hay

VietBF Homepage Autoscroll

VietBF Video Autoscroll Portal

Home Classic

Home Classic Master Page


therealrtz
R10 Vô Địch Thiên Hạ
Release: 01-12-2018
Reputation: 234464


Profile:
Join Date: Nov 2014
Posts: 90,821
Last Update: None Rating: None
Attached Thumbnails
Click image for larger version

Name:	22.1.jpg
Views:	0
Size:	29.9 KB
ID:	1160122   Click image for larger version

Name:	22.2.jpg
Views:	0
Size:	35.2 KB
ID:	1160123  
therealrtz_is_offline
Thanks: 28
Thanked 6,712 Times in 5,981 Posts
Mentioned: 4 Post(s)
Tagged: 0 Thread(s)
Quoted: 34 Post(s)
Rep Power: 113
therealrtz Reputation Uy Tín Level 10therealrtz Reputation Uy Tín Level 10therealrtz Reputation Uy Tín Level 10therealrtz Reputation Uy Tín Level 10therealrtz Reputation Uy Tín Level 10therealrtz Reputation Uy Tín Level 10therealrtz Reputation Uy Tín Level 10
therealrtz Reputation Uy Tín Level 10therealrtz Reputation Uy Tín Level 10therealrtz Reputation Uy Tín Level 10therealrtz Reputation Uy Tín Level 10therealrtz Reputation Uy Tín Level 10therealrtz Reputation Uy Tín Level 10therealrtz Reputation Uy Tín Level 10therealrtz Reputation Uy Tín Level 10therealrtz Reputation Uy Tín Level 10therealrtz Reputation Uy Tín Level 10therealrtz Reputation Uy Tín Level 10therealrtz Reputation Uy Tín Level 10therealrtz Reputation Uy Tín Level 10therealrtz Reputation Uy Tín Level 10therealrtz Reputation Uy Tín Level 10therealrtz Reputation Uy Tín Level 10therealrtz Reputation Uy Tín Level 10
 
User Tag List



 
Lên đầu Xuống dưới Lên 3000px Xuống 3000px

iPad Videos Portal Autoscroll

VietBF Music Portal Autoscroll

iPad News Portal Autoscroll

VietBF Homepage Autoscroll

VietBF Video Autoscroll Portal

USA News Autoscroll Portall

VietBF WORLD Autoscroll Portal

Home Classic

Super Widescreen

Tin nóng nhất 24h qua

Tin nóng nhất 3 ngày qua

Tin nóng nhất 7 ngày qua

Tin nóng nhất 30 ngày qua

Albums

Total Videos Online
Lên đầu Xuống dưới Lên 3000px Xuống 3000px

Tranh luận sôi nổi nhất 7 ngày qua

Tranh luận sôi nổi nhất 14 ngày qua

Tranh luận sôi nổi nhất 30 ngày qua

10.000 Tin mới nhất

Tin tức Hoa Kỳ

Tin tức Công nghệ
Lên đầu Xuống dưới Lên 3000px Xuống 3000px

Super News

School Cooking Traveling Portal

Enter Portal

Series Shows and Movies Online

Home Classic Master Page

Donation Ủng hộ $3 cho VietBF
Lên đầu Xuống dưới Lên 3000px Xuống 3000px
Diễn Đàn Người Việt Hải Ngoại. Tự do ngôn luận, an toàn và uy tín. Vì một tương lai tươi đẹp cho các thế hệ Việt Nam hãy ghé thăm chúng tôi, hãy tâm sự với chúng tôi mỗi ngày, mỗi giờ và mỗi giây phút có thể. VietBF.Com Xin cám ơn các bạn, chúc tất cả các bạn vui vẻ và gặp nhiều may mắn.
Welcome to Vietnamese American Community, Vietnamese European, Canadian, Australian Forum, Vietnamese Overseas Forum. Freedom of speech, safety and prestige. For a beautiful future for Vietnamese generations, please visit us, talk to us every day, every hour and every moment possible. VietBF.Com Thank you all and good luck.

Lên đầu Xuống dưới Lên 3000px Xuống 3000px

All times are GMT. The time now is 22:00.
VietBF - Vietnamese Best Forum Copyright ©2005 - 2025
User Alert System provided by Advanced User Tagging (Pro) - vBulletin Mods & Addons Copyright © 2025 DragonByte Technologies Ltd.
Log Out Unregistered

Page generated in 0.12029 seconds with 15 queries